Video 1: reconstrucție în plan axial din achiziție CT abdomen superior în timp venos
Video 2: reconstrucție în plan coronal din achiziție CT abdomen superior în timp venos
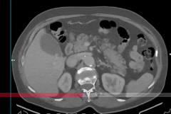
Discuţie caz nr 98: La nivelul conținutului colecistului se evidențiază două imagini de calculi rotund-ovalari spontan hiperdensi. Fundic la nivelul peretelui colecistului se evidențiază o leziune rotund-ovalară ce are conținut heterogen tisular și lichidian cu priză de contrast la nivelul porțiunilor tisulare; aspectul este sugestiv pentru adenomioză colecistică.
Indicația de examinare în ghidradiologie.ro
DE LUAT ACASĂ!!! Calculii colecistici pot fi evidențiați la examinarea CT numai dacă au densități crescute comparativ cu lichidul biliar – trebuie reținut că dacă la examinarea CT nu se evidențiază calculi colecistici nu înseamnă că ei nu există și la acești pacienți se corelează cu examinarea ultrasonografia care detectează 100% calculii biliari. Adenomioza colecistica este o leziune a vezicii biliare, cel mai adesea asociată cu colelitiaza; se caracterizează prin sinusuri Rokitansky-Aschoff înconjurate de fascicule de mușchi netezi hiperplazici.
NB Următoarele trei precizări vor fi listate după fiecare caz, cu scop de popularizare a științei.
- Pacienții care au tratament cu METFORMIN și au indicație de efectuare a unei examinări cu substanța de contrast iodată NU trebuie să întrerupă tratamentul dacă au GFR mai mare de 30 ml / minut. https://ghidradiologie.ro/ghid-de-utilizare-a-substantelor-de-contrast/
- Reacțiile alergice la substanța de contrast pe bază de iod nu sunt de tip anafilactic; singura metodă de prevenție a unei reacții alergice reprezintă evitarea alergenului, de aceea orice injectare de substanță de contrast trebuie motivată și validată de radiolog, după analiza raportului risc / beneficiu. Testarea la pacienții care nu au mai primit substanță de contrast nu este indicată sau concludentă (neputând prevedea apariția unei reacții ulterioare), fiind chiar contraindicată (putând genera ea însăși o reacție). Dacă pacientul a avut o reacție imediată după administrarea substanței de contrast se recomandă o analiză alergologică. https://ghidradiologie.ro/ghid-de-utilizare-a-substantelor-de-contrast/
- Administrarea substanței de contrast pentru o examinare imagistică precum și justificarea iradierii pacienților SUNT ATRIBUTUL MEDICULUI RADIOLOG.
Bibliografie:
- Krishnamurthy K, Febres-Aldana CA, Melnick S, Sriganeshan V, Poppiti RJ. Morphological and immunophenotypical analysis of the spindle cell component in adenomyomatous hyperplasia of the gallbladder. Pathologica. 2021 Aug;113(4):272-279. doi: 10.32074/1591-951X-155. PMID: 34542543; PMCID: PMC8488983.
- Joshi JK, Kirk L. Adenomyomatosis. 2022 Dec 9. In: StatPearls [Internet]. Treasure Island (FL): StatPearls Publishing; 2025 Jan–. PMID: 29489201.