Video 1: CT axial în timp arterial torace și abdomen
Video 2: CT axial în timp venos torace și abdomen
Video 3: CT coronal în timp venos torace și abdomen
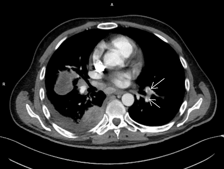
Figura 1: axial CT în timp arterial

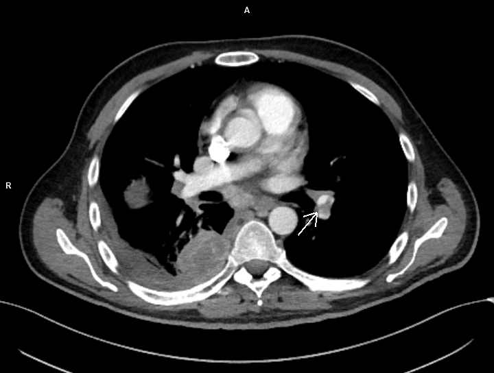
Figura 2: axial CT în timp arterial

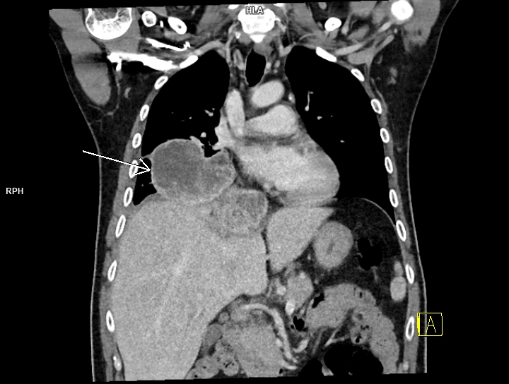
Figura 3: coronal CT în timp venos torace și abdomen

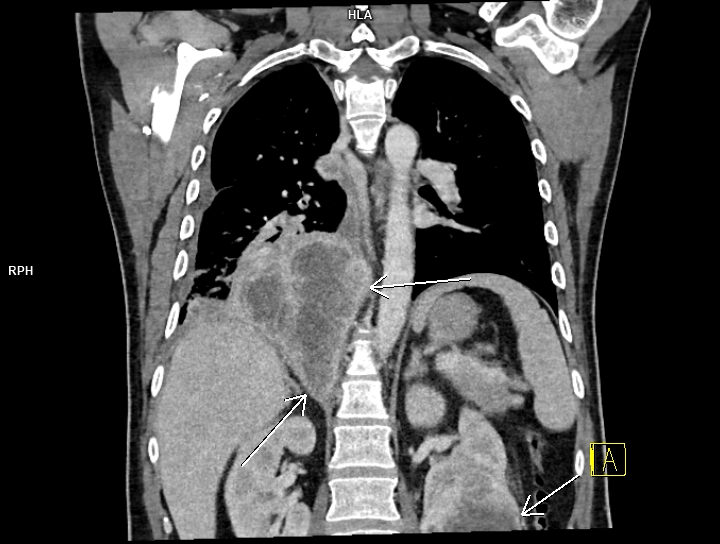
Figura 4: coronal CT în timp venos torace și abdomen

Discuţie caz nr 99: pacientul s-a prezentat în urgență și a fost trimis la examinarea CT cu suspiciune de trombembolism pulmonar. Examinarea CT efectuată toracic care a surprins și o parte din abdomenul superior evidențiază trombembolism pulmonar acut stâng la nivelul arterei intermediare cu evoluție și la nivelul arterelor segmentare și subsegmentare precum și tumoră renală stânga de pol inferior cu aspect de carcinom cu celule clare (Grawitz) și determinări secundare pleurale drepte.
Indicația de examinare în ghidradiologie.ro https://ghidradiologie.ro/aparat-cardiovascular/embolie-pulmonara/
DE LUAT ACASĂ!!! Angio-CT cu substanță de contrast reprezintă examinarea de primă intenție pentru diagnostic în cazul suspiciunii de embolie pulmonară. Nu este indicat în urmărirea pacientului cu TEP.
NB Următoarele trei precizări vor fi listate după fiecare caz, cu scop de popularizare a științei.
- Pacienții care au tratament cu METFORMIN și au indicație de efectuare a unei examinări cu substanța de contrast iodată NU trebuie să întrerupă tratamentul dacă au GFR mai mare de 30 ml / minut. https://ghidradiologie.ro/ghid-de-utilizare-a-substantelor-de-contrast/
- Reacțiile alergice la substanța de contrast pe bază de iod nu sunt de tip anafilactic; singura metodă de prevenție a unei reacții alergice reprezintă evitarea alergenului, de aceea orice injectare de substanță de contrast trebuie motivată și validată de radiolog, după analiza raportului risc / beneficiu. Testarea la pacienții care nu au mai primit substanță de contrast nu este indicată sau concludentă (neputând prevedea apariția unei reacții ulterioare), fiind chiar contraindicată (putând genera ea însăși o reacție). Dacă pacientul a avut o reacție imediată după administrarea substanței de contrast se recomandă o analiză alergologică. https://ghidradiologie.ro/ghid-de-utilizare-a-substantelor-de-contrast/
- Administrarea substanței de contrast pentru o examinare imagistică precum și justificarea iradierii pacienților SUNT ATRIBUTUL MEDICULUI RADIOLOG.
Bibliografie:
- Albrecht MH, Bickford MW, Nance JW Jr, Zhang L, De Cecco CN, Wichmann JL, Vogl TJ, Schoepf UJ. State-of-the-Art Pulmonary CT Angiography for Acute Pulmonary Embolism. AJR Am J Roentgenol. 2017 Mar;208(3):495-504. doi: 10.2214/AJR.16.17202. Epub 2016 Nov 29. PMID: 27897042.
- Rupert K, Kural T, Skalický T, Zeithaml J, Hess O, Třeška V. Clear cell renal carcinoma metastases to the pancreas. Rozhl Chir. 2020 Summer;99(7):311-315. English. doi: 10.33699/PIS.2020.99.7.311-315. PMID: 32972149.