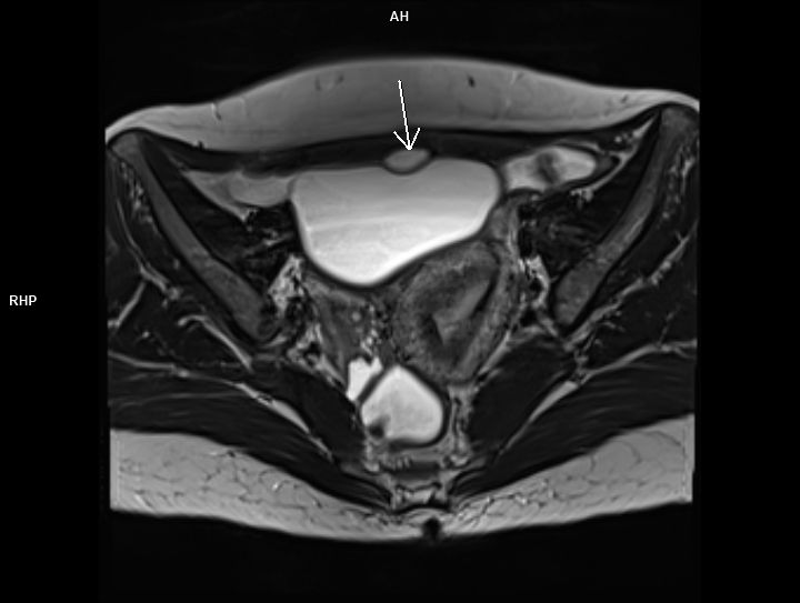
Figura 1: axial T2

Figura 2: sagital T2

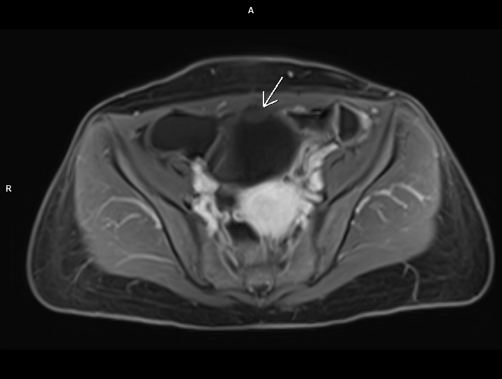
Figurile 3 si 4: axial T1 postcontrast cu saturaţia grăsimii

Video 1: axial T2
Video 2: sagital T2
Video 3: coronal T1 postcontrast cu saturaţia grăsimii
Discuţie caz nr 83: chistul de uracă apare datorită faptului ca uraca nu s-a inchis complet în timpul dezvoltării fetale si este un buzunar umplut cu lichid; uraca este o structură embriologică normală care leagă vezica fetală de cordonul ombilical. Majoritatea chistelor uracale sunt asimptomatice, însă uneori se pot infecta şi pot provoca complicații: simptome ale tractului urinar, hematurie sau o masă palpabilă.
Indicația de examinare în ghidradiologie.ro https://ghidradiologie.ro/aparat-uro-genital-si-glande-suprarenale/suspiciune-de-colica-nefretica-v-si-capitolul-radiologie-interventionala/
DE LUAT ACASĂ!!!
Chistele de uraca se datorează faptului că uraca nu s-a închis în primul trimestru de sarcina; pot fi descoperiri întâmplătoare la examinările imagistice sau se pot complica.
NB Următoarele trei precizări vor fi listate după fiecare caz, cu scop de popularizare a științei.
- Pacienții care au tratament cu METFORMIN și au indicație de efectuare a unei examinări cu substanța de contrast iodată NU trebuie să întrerupă tratamentul dacă au GFR mai mare de 30 ml / minut. https://ghidradiologie.ro/ghid-de-utilizare-a-substantelor-de-contrast/
- Reacțiile alergice la substanța de contrast pe bază de iod nu sunt de tip anafilactic; singura metodă de prevenție a unei reacții alergice reprezintă evitarea alergenului, de aceea orice injectare de substanță de contrast trebuie motivată și validată de radiolog, după analiza raportului risc / beneficiu. Testarea la pacienții care nu au mai primit substanță de contrast nu este indicată sau concludentă (neputând prevedea apariția unei reacții ulterioare), fiind chiar contraindicată (putând genera ea însăși o reacție). Dacă pacientul a avut o reacție imediată după administrarea substanței de contrast se recomandă o analiză alergologică. https://ghidradiologie.ro/ghid-de-utilizare-a-substantelor-de-contrast/
- Administrarea substanței de contrast pentru o examinare imagistică precum și justificarea iradierii pacienților SUNT ATRIBUTUL MEDICULUI RADIOLOG.
Bibliografie:
- Sierra-Labarta CR, Aranda-Lozano J, Yanguas-Barea N, de Pablo-Cárdenas Á, Cuesta-Alcalá JÁ, Sánchez-Zalabardo D. Urachal cyst. Arch Esp Urol. 2020 Mar;73(2):157. English, Spanish. PMID: 32124848.
- Faye PM, Gueye ML, Thiam O, Niasse A, Ndong A, Ndiaye M, Seye Y, Sarr ISS, Seck M, Toure AO, Cisse M. Infected urachal cyst in an adult, report of two observations. Int J Surg Case Rep. 2022 Aug;97:107394. doi: 10.1016/j.ijscr.2022.107394. Epub 2022 Jul 8. PMID: 35834928; PMCID: PMC9403061.
- Alyusuf Z, Hassan A, Maki R, Hasan W, Alhamar R. Intravesical urachal cyst masquerading as a bladder malignancy: a case report. J Med Case Rep. 2023 Aug 24;17(1):364. doi: 10.1186/s13256-023-04110-w. PMID: 37612773; PMCID: PMC10463838.