Video 1: sag T1
Video 2: coronal FLAIR
Video 3: coronal T2 centrat pe șaua turcică
Video 4: sagital FLAIR
Video 5: axial T1 pre şi postcontrast
Video 6: sagital T1 postcontrast
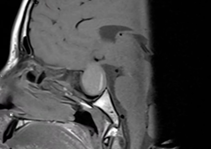
Discuţie caz nr 84: diagnosticul de trimitere a fost suspiciune de formațiune tumorală suprasellară pacientul prezentând simptome datorate compresiei nervilor optici; se evidențiază o leziune ovalara net delimitată dezvoltată la nivelul șeii turcice cu evoluție suprasellara ce are conținut spontan în hipersemnal T1 cu nivel fluid-fluid și cu priză de contrast la nivelul peretelui subțire. Leziunea are efect de masă asupra structurilor de vecinătate deplasând segmentele distale ale nervilor optici spre lateral și superior și chiasma optică spre superior.
Indicația de examinare în ghidradiologie.ro https://ghidradiologie.ro/cap/procese-expansive-hipofizare-si-paraselare/
DE LUAT ACASĂ!!! IRM este tehnica imagistică de referință pentru diagnostic, evaluare preterapeutică și urmărire postterapeutică pentru leziunile sellare și parasellare. Permite caracterizare tisulară și extensie lezională și necesită completare cu secvență Angio-RM pentru analiza structurilor vasculare ale sinusului cavernos și suprasellare (anevrisme arteriale, fistule carotido-cavernoase, tromboflebite de sinus cavernos …)
NB Următoarele trei precizări vor fi listate după fiecare caz, cu scop de popularizare a științei.
- Pacienții care au tratament cu METFORMIN și au indicație de efectuare a unei examinări cu substanța de contrast iodată NU trebuie să întrerupă tratamentul dacă au GFR mai mare de 30 ml / minut. https://ghidradiologie.ro/ghid-de-utilizare-a-substantelor-de-contrast/
- Reacțiile alergice la substanța de contrast pe bază de iod nu sunt de tip anafilactic; singura metodă de prevenție a unei reacții alergice reprezintă evitarea alergenului, de aceea orice injectare de substanță de contrast trebuie motivată și validată de radiolog, după analiza raportului risc / beneficiu. Testarea la pacienții care nu au mai primit substanță de contrast nu este indicată sau concludentă (neputând prevedea apariția unei reacții ulterioare), fiind chiar contraindicată (putând genera ea însăși o reacție). Dacă pacientul a avut o reacție imediată după administrarea substanței de contrast se recomandă o analiză alergologică. https://ghidradiologie.ro/ghid-de-utilizare-a-substantelor-de-contrast/
- Administrarea substanței de contrast pentru o examinare imagistică precum și justificarea iradierii pacienților SUNT ATRIBUTUL MEDICULUI RADIOLOG.
Bibliografie:
- Muthukumar N. Pituitary Apoplexy: A Comprehensive Review. Neurol India. 2020 May-Jun;68(Supplement):S72-S78. doi: 10.4103/0028-3886.287669. PMID: 32611895.
- Biagetti B, Simò R. Pituitary Apoplexy: Risk Factors and Underlying Molecular Mechanisms. Int J Mol Sci. 2022 Aug 5;23(15):8721. doi: 10.3390/ijms23158721. PMID: 35955859; PMCID: PMC9369054.
- Briet C, Salenave S, Bonneville JF, Laws ER, Chanson P. Pituitary Apoplexy. Endocr Rev. 2015 Dec;36(6):622-45. doi: 10.1210/er.2015-1042. Epub 2015 Sep 28. PMID: 26414232.