CAZ nr 82 Angiodisplazie jejunala tratată intervențional – cu mulțumiri Dr Viorel PÂRLEA medic primar radiologie imagistică medicală cu atestat radiologie intervențională nivel II Membru: SRIM, SNRIR, ESR, CIRSE, Spitalul Clinic de Urgență ”Sf. Pantelimon” București – E-mail: angio.pantelimon@gmail.com
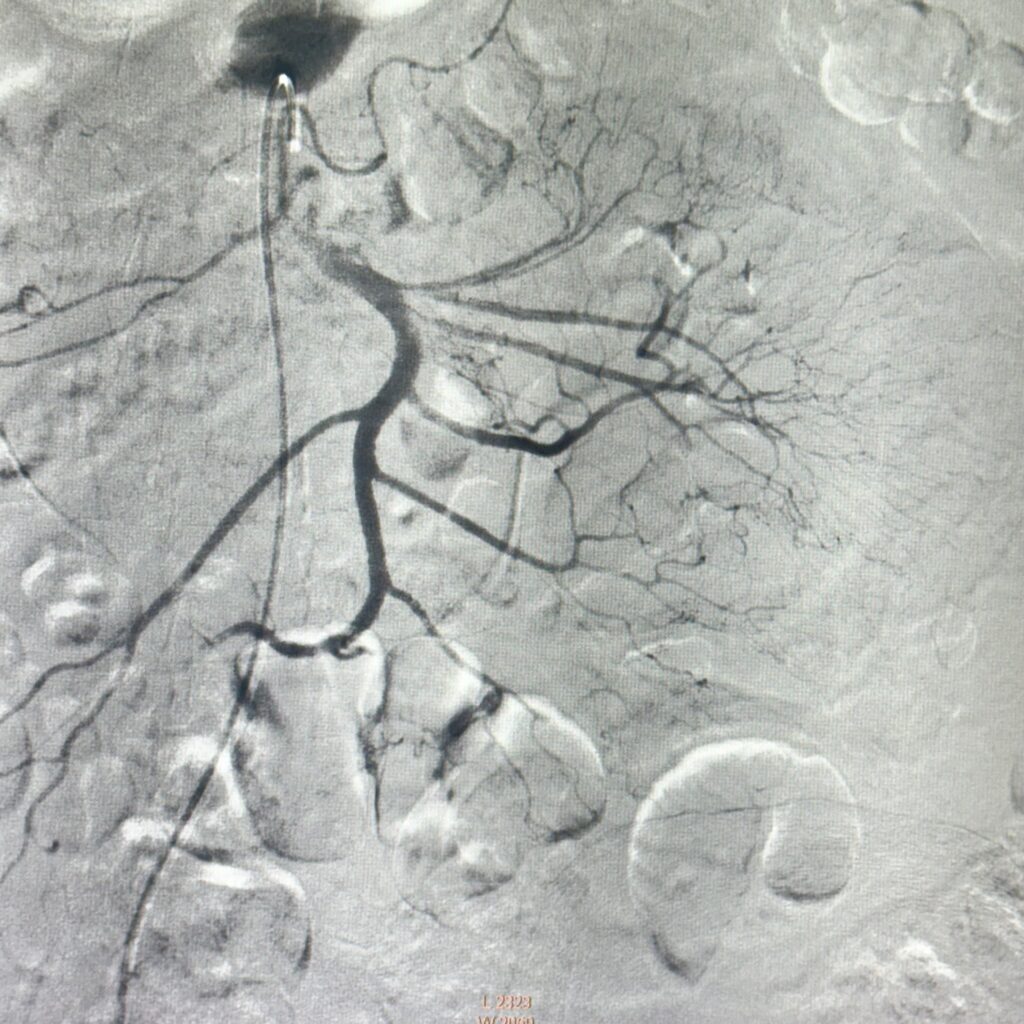
Figura 1: injectare în arteră mezenterică superioară cu evidențierea extravazării substanței de contrast

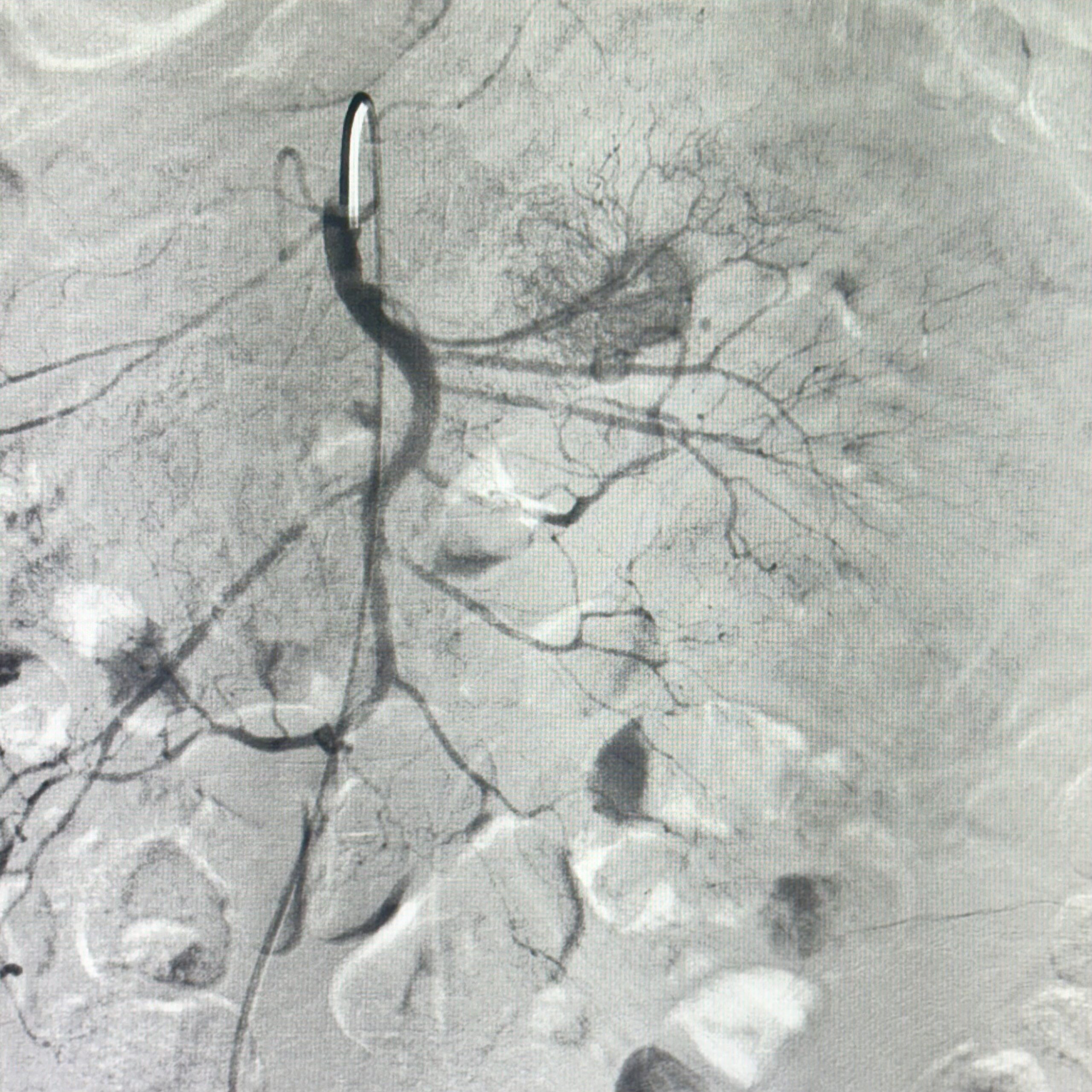
Figura 2: postinjectare de particule resorbabile se remarcă dispariția sângerării

Video 1: injectare în arteră mezenterică superioară cu evidențierea angiodisplaziei jejunale
Video 2: postinjectare de particule resorbabile
Discuţie caz nr 82: Pacient de 68 de ani internat cu 7 zile în urmă pentru hemoragie digestivă inferioară (hematochezie) și anemie secundară (Hb 7.1 mg/dL), care se accentuează progresiv în pofida transfuziilor repetate (Hb 4.9 mg/dL în ziua a cincea de internare).
Endoscopie Digestivă Superioară: fără particularități. Endoscopie Digestivă Inferioară: examinare efectuată până la nivelul colonului ascendent, evidențiază sânge proaspăt, fără a se putea identifica originea hemoragiei.
În ziua a opta de la internare se practică angiografie diagnostică de Arteră Mezenterică Superioară (aspect sugestiv de angiodisplazie jejunală), urmată de embolizare cu particule resorbabile (Gelaspon) a primului ram jejunal. Rezultat optim postprocedural: încetarea HDI, urmată de corectarea progresivă a sindromului anemic (Hb 9,0 mg/dL în ziua a patra postprocedural).
Indicația de examinare în ghidradiologie.ro https://ghidradiologie.ro/aparat-digestiv/sangerare-gastro-intestinala-acuta/
DE LUAT ACASĂ!!! Stabilizarea stării hemodinamice a pacientului este esenţială. Trebuie făcut un bilanţ endoscopic prealabil. Extravazarea de produs de contrast e vizibilă doar în cazul unui debit hemoragic suficient de mare. Embolizarea este decisă când poate fi realizată fără un risc major.
NB Următoarele trei precizări vor fi listate după fiecare caz, cu scop de popularizare a științei.
- Pacienții care au tratament cu METFORMIN și au indicație de efectuare a unei examinări cu substanța de contrast iodată NU trebuie să întrerupă tratamentul dacă au GFR mai mare de 30 ml / minut. https://ghidradiologie.ro/ghid-de-utilizare-a-substantelor-de-contrast/
- Reacțiile alergice la substanța de contrast pe bază de iod nu sunt de tip anafilactic; singura metodă de prevenție a unei reacții alergice reprezintă evitarea alergenului, de aceea orice injectare de substanță de contrast trebuie motivată și validată de radiolog, după analiza raportului risc / beneficiu. Testarea la pacienții care nu au mai primit substanță de contrast nu este indicată sau concludentă (neputând prevedea apariția unei reacții ulterioare), fiind chiar contraindicată (putând genera ea însăși o reacție). Dacă pacientul a avut o reacție imediată după administrarea substanței de contrast se recomandă o analiză alergologică. https://ghidradiologie.ro/ghid-de-utilizare-a-substantelor-de-contrast/
- Administrarea substanței de contrast pentru o examinare imagistică precum și justificarea iradierii pacienților SUNT ATRIBUTUL MEDICULUI RADIOLOG.
Bibliografie:
- Stanley AJ, Laine L. Management of acute upper gastrointestinal bleeding. BMJ. 2019 Mar 25;364:l536. doi: 10.1136/bmj.l536. PMID: 30910853.
- Oakland K, Chadwick G, East JE, Guy R, Humphries A, Jairath V, McPherson S, Metzner M, Morris AJ, Murphy MF, Tham T, Uberoi R, Veitch AM, Wheeler J, Regan C, Hoare J. Diagnosis and management of acute lower gastrointestinal bleeding: guidelines from the British Society of Gastroenterology. Gut. 2019 May;68(5):776-789. doi: 10.1136/gutjnl-2018-317807. Epub 2019 Feb 12. PMID: 30792244.