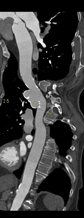
Figura 1: reconstrucţie aortică în planul vasului

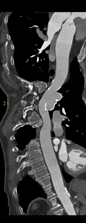
Figura 2: reconstrucţie aortică în planul vasului

Video 1: axial MIP din achiziţie angioCT torace pentru aorta toracică
Video 2: sagital MIP din achiziţie angioCT torace pentru aorta toracică
Video 3: reconstrucţie de volum (VRT) din achiziţie angioCT torace pentru aortă toracică
Video 4: coronal MIP din achiziţie angioCT torace pentru aorta toracică
Discuţie caz nr 68:
Pacient cu traumatism prin accident de mașina în antecedente; efectuează examinare CT de artere coronare si aorta toracică. Se evidențiază un pseudoanevrism de istm aortic cu prezenta de calcificări arciforme pe contur.
Indicația de examinare în ghidradiologie.ro https://ghidradiologie.ro/aparat-cardiovascular/anevrism-aorta-toracala/
DE LUAT ACASĂ!!!
Pseudoanevrismul de istm aortic este practic o ruptură conținută de aortă şi apare la pacienții care suferă un traumatism cu decelerare importantă. Deseori apare ca descoperire întâmplătoare tardivă, mai ales daca traumatismele au avut loc cu mulți ani in urma când examinarea CT nu se efectua de rutină la acest tip de pacienți.
NB Următoarele trei precizări vor fi listate după fiecare caz, cu scop de popularizare a științei.
- Pacienții care au tratament cu METFORMIN și au indicație de efectuare a unei examinări cu substanța de contrast iodată NU trebuie să întrerupă tratamentul dacă au GFR mai mare de 30 ml / minut. https://ghidradiologie.ro/ghid-de-utilizare-a-substantelor-de-contrast/
- Reacțiile alergice la substanța de contrast pe bază de iod nu sunt de tip anafilactic; singura metodă de prevenție a unei reacții alergice reprezintă evitarea alergenului, de aceea orice injectare de substanță de contrast trebuie motivată și validată de radiolog, după analiza raportului risc / beneficiu. Testarea la pacienții care nu au mai primit substanță de contrast nu este indicată sau concludentă (neputând prevedea apariția unei reacții ulterioare), fiind chiar contraindicată (putând genera ea însăși o reacție). Dacă pacientul a avut o reacție imediată după administrarea substanței de contrast se recomandă o analiză alergologică. https://ghidradiologie.ro/ghid-de-utilizare-a-substantelor-de-contrast/
- Administrarea substanței de contrast pentru o examinare imagistică precum și justificarea iradierii pacienților SUNT ATRIBUTUL MEDICULUI RADIOLOG.
Bibliografie:
- Muggenthaler H, Bismann D, Eckardt N, Gassler N, Hubig M, Subramaniam JS, Mall G. Delayed occurrence of traumatic aortic dissection? Biomechanical considerations and literature. Int J Legal Med. 2023 Mar;137(2):353-357. doi: 10.1007/s00414-022-02935-6. Epub 2022 Dec 17. PMID: 36527463; PMCID: PMC9902402.
- Colombier S, Girod G, Niclauss L, Danzer D, Eeckhout E, Qanadli SD, Delay D. Total Endovascular Repair of Post-Trauma Ascending Aortic Pseudoaneurysm and Secondary Superior Vena Cava Syndrome. Ann Vasc Surg. 2019 Nov;61:468.e13-468.e17. doi: 10.1016/j.avsg.2019.04.043. Epub 2019 Jul 31. PMID: 31376549.
- Exadaktylos AK, Duwe J, Eckstein F, Stoupis C, Schoenfeld H, Zimmermann H, Carrel TP. The role of contrast-enhanced spiral CT imaging versus chest X-rays in surgical therapeutic concepts and thoracic aortic injury: a 29-year Swiss retrospective analysis of aortic surgery. Cardiovasc J S Afr. 2005 May-Jun;16(3):162-5. PMID: 16049590.
Trimite informația mai departe