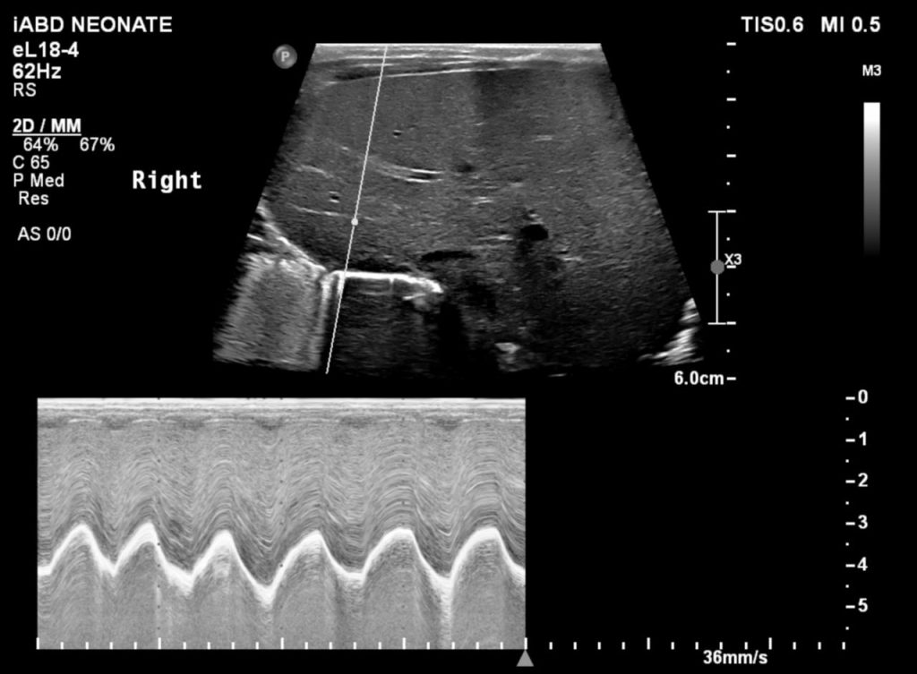
Figura 1: Diafragm drept cu mișcare normală la ultrasonografie.

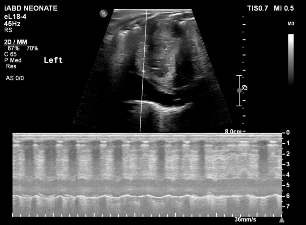
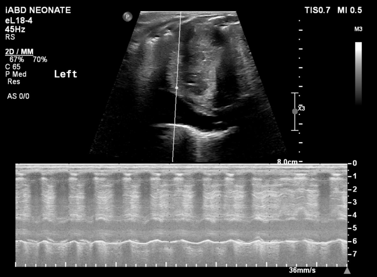
Figura 2: Ultrasonografie la 1 luna post operator la un pacient cu transpoziție de mari vase operată în perioada neonatală: evaluare în modul M – amplitudine sever redusă a mișcărilor diafragmului stâng.

Video 2: Radioscopie la 2 luni postoperator (pacient detubat, dar ventilat non-invaziv): mișcare paradoxală a diafragmului stâng, cu ascensionare în inspir. Tulburări de ventilație pulmonar bilateral decliv, dar mai extinse de partea stânga.
Discuţie caz nr 62: Diafragma este mușchiul principal al ventilației. Slăbiciunea sau paralizia unilaterală mărește munca necesară respirației și reduce rezerva respiratorie, dar poate fi asimptomatică în absența bolii pulmonare sau a distensiei abdominale.
Examenul fluoroscopic al diafragmei (testul mirosului „sniff test”) este util în diagnosticarea paraliziei diafragmatice. La indivizii normali, ambele hemidiafragme coboară de obicei cu inspirație. În cazurile de paralizie diafragmatică unilaterală, partea afectată poate demonstra o mișcare ascendentă paradoxală.
Ecografia este un bun înlocuitor pentru fluoroscopia și poate fi efectuată la pat cu pacientul întins, dacă poate respira în această poziție. Este mai ușor să evaluezi copiii cu ultrasunete cu evitarea riscul de iradiere. Ecografia în timp real este efectuată în plan axial pentru a compara cele două hemidiafragme simultan. Modul M suplimentar coronal sau sagital poate ajuta la cuantificarea gradului de mișcare a fiecărui hemidiafragm individual. Criteriile de diagnostic la copii includ mișcarea paradoxală, excursia mai mică de 4 mm și o diferență >50% între excursia unui hemidiafragm față de celălalt.
Indicația de examinare în ghidradiologie.ro https://ghidradiologie.ro/pediatrie/pleurezie/ https://ghidradiologie.ro/pediatrie/masa-abdominala-sau-pelvina-palpabila/
DE LUAT ACASĂ!!!
Justificarea iradierii este făcută de către medicul radiolog; la pacienții care postoperator în sfera cardiacă prezintă dificultăți la detubare și se suspicionează o hernie diafragmatică, ecografie este de mare ajutor pentru diagnostic – cu avantajele că se efectuează la pat și evităm iradierea nenecesară.
NB Următoarele trei precizări vor fi listate după fiecare caz, cu scop de popularizare a științei.
- Pacienții care au tratament cu METFORMIN și au indicație de efectuare a unei examinări cu substanța de contrast iodată NU trebuie să întrerupă tratamentul dacă au GFR mai mare de 30 ml / minut. https://ghidradiologie.ro/ghid-de-utilizare-a-substantelor-de-contrast/
- Reacțiile alergice la substanța de contrast pe bază de iod nu sunt de tip anafilactic; singura metodă de prevenție a unei reacții alergice reprezintă evitarea alergenului, de aceea orice injectare de substanță de contrast trebuie motivată și validată de radiolog, după analiza raportului risc / beneficiu. Testarea la pacienții care nu au mai primit substanță de contrast nu este indicată sau concludentă (neputând prevedea apariția unei reacții ulterioare), fiind chiar contraindicată (putând genera ea însăși o reacție). Dacă pacientul a avut o reacție imediată după administrarea substanței de contrast se recomandă o analiză alergologică. https://ghidradiologie.ro/ghid-de-utilizare-a-substantelor-de-contrast/
- Administrarea substanței de contrast pentru o examinare imagistică precum și justificarea iradierii pacienților SUNT ATRIBUTUL MEDICULUI RADIOLOG.
Bibliografie:
- Talwar S, Agarwala S, Mittal C, Choudhary S, Airan B. Diaphragmatic Palsy After Cardiac Surgical Procedures in Patients with Congenital Heart. Ann Pediatr Card. 2010;3(1):50. doi:10.4103/0974-2069.64370 – Pubmed
- DiNino E, Gartman EJ, Sethi JM, McCool FD. Diaphragm ultrasound as a predictor of successful extubation from mechanical ventilation. (2014) Thorax. 69 (5): 423-7. doi:10.1136/thoraxjnl-2013-204111– Pubmed
- Keyes S, Spouge R, Kennedy P et al. Approach to Acute Traumatic and Nontraumatic Diaphragmatic Abnormalities. Radiographics. 2024;44(6):e230110. doi:10.1148/rg.230110– Pubmed