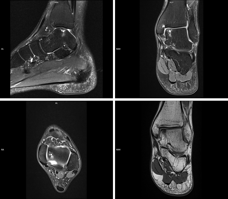
Figura 1: Colaj de imagini în ponderaţie proton density (PD) cu saturaţia grăsimii şi coronal T1 la nivelul articulaţiei tibio-talare

Video 1: sagital CT
Video 2: coronal CT
Video 3: axial CT
Video 4: Coronal T1
Video 5: Sagital T1
Video 6: Sagital PD cu FS
Video 7: Coronal PD cu FS
Discuţie caz nr 63:
Deși părerea generală este că osul se vizualizează mai bine la computer-tomografie, acest caz demonstrează că prin examinare IRM se pune în evidență modificare de formă a osului talus superior si lateral – modificare ce nu se poate evidenția prin examinare CT, și acesta este un element important pentru diagnostic și planificare terapeutică. În plus, prin examinare IRM se poate vizualiza și cuantifica cartilajul articular.
Scopul publicării acestui caz este de a genera o discuție despre informațiile pe care le obținem la un pacient cu patologie ortopedica prin examinare CT și IRM. În folclorul medical se spune că medicul ortoped are nevoie de câteva radiografii și, eventual, o examinare CT pentru ca, împreună cu datele clinice, să poată pune un diagnostic și a indica un tratament. Știm deja că pentru o patologie de genunchi sau umăr se recomandă în general și examinare prin rezonanță magnetică deoarece articulațiile au multe grade de libertate și este util să vizualizam structurile tendinoase și musculo-ligamentare. Ce vedem în acest caz? Că examinarea prin rezonanță magnetică ne furnizează informații despre: cartilajul articular, structurile ligamentare și, mai mult, permite vizualizarea edemului osos care poate să fie sursă durerii pacientului.
Indicația de examinare în ghidradiologie.ro https://ghidradiologie.ro/aparat-locomotor/artropatie-inflamatorie-monitorizare/
DE LUAT ACASĂ!!! Patologia osteo-articulară poate fi pusă în evidență prin utilizarea împreună a examinărilor CT și IRM, acestea furnizând informații complementare.
NB Următoarele trei precizări vor fi listate după fiecare caz, cu scop de popularizare a științei.
- Pacienții care au tratament cu METFORMIN și au indicație de efectuare a unei examinări cu substanța de contrast iodată NU trebuie să întrerupă tratamentul dacă au GFR mai mare de 30 ml / minut. https://ghidradiologie.ro/ghid-de-utilizare-a-substantelor-de-contrast/
- Reacțiile alergice la substanța de contrast pe bază de iod nu sunt de tip anafilactic; singura metodă de prevenție a unei reacții alergice reprezintă evitarea alergenului, de aceea orice injectare de substanță de contrast trebuie motivată și validată de radiolog, după analiza raportului risc / beneficiu. Testarea la pacienții care nu au mai primit substanță de contrast nu este indicată sau concludentă (neputând prevedea apariția unei reacții ulterioare), fiind chiar contraindicată (putând genera ea însăși o reacție). Dacă pacientul a avut o reacție imediată după administrarea substanței de contrast se recomandă o analiză alergologică. https://ghidradiologie.ro/ghid-de-utilizare-a-substantelor-de-contrast/
- Administrarea substanței de contrast pentru o examinare imagistică precum și justificarea iradierii pacienților SUNT ATRIBUTUL MEDICULUI RADIOLOG.
Bibliografie:
- Casais I, Steenwerckx A, Buedts K. Tibiotalocalcaneal and Tibiotalar Arthrodesis for Severe Cavovarus Deformity: Tips and Tricks. Foot Ankle Clin. 2023 Dec;28(4):819-831. doi: 10.1016/j.fcl.2023.06.003. Epub 2023 Jul 28. PMID: 37863537.
- Ha J, Jones G, Staub J, Aynardi M, French C, Petscavage-Thomas J. Current Trends in Total Ankle Replacement. Radiographics. 2024 Jan;44(1):e230111. doi: 10.1148/rg.230111. PMID: 38096110.