Video 1: achiziţie cine SSFP în plan 2 camere ventricul stâng
Video 2: achiziţie cine SSFP în plan 3 camere ventricul stâng
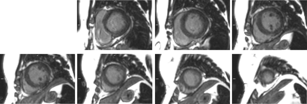
Figura 1: Achizitie harta T1 (T1 mapping) precontrast

Figura 2: Achizitie harta T2 (T2 mapping)

Figura 3: Achizitie harta T1 (T1 mapping) postcontrast

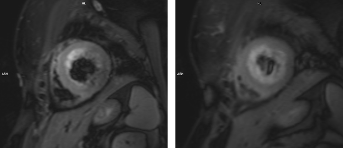
Figura 4: Secventa de edem (achizitie T2 cu saturatia grasimii)

Figura 5: Postcontrast achizitie tripla inversie-recuperare in ax scurt

Discuţie caz nr 61:
Cauzat adesea de situații stresante din punct de vedere psihologic şi emoţional, sindromul Tako Tsubo a fost descoperit în Japonia în anii 1990 și a fost denumit după un vas de formă specială în care se adăposteau caracatițele – la acești pacienți inima este balonizată spre vârf („apical balooning”) şi are formă asemănătoare acestui vas. Această boală are o incidență cuprinsă între 1% şi 3% la pacienţii care ajung la camera de gardă cu suspiciunea de sindrom coronarian acut – simptomele asociază creșterea enzimelor de necroză miocardică iar coronarografia efectuată nu evidențiază stenoze coronariene semnificative.
Examinarea IRM evidențiază formă tipică a ventriculului stâng care e balonizat, cu edem miocardic de la nivelul cavitații medii până la apex (examinarea cardiacă prin rezonanță magnetică este singura modalitate de a evidenția „in vivo” edemul miocardic) și, în mod caracteristic, fără priză de contrast ceea ce sugerează lipsa ariilor de necroză miocardică.
Pacienții sunt de sex feminin în nouă din zece cazuri, în special după menopauză. Dacă intervenţia este promptă şi corectă, aproape întotdeauna se obține o recuperare rapidă, fără sechele.
Indicația de examinare în ghidradiologie.ro https://ghidradiologie.ro/aparat-cardiovascular/insuficienta-cardiaca/
DE LUAT ACASĂ!!!
Cardiomiopatia de stress este un sindrom coronarian acut care, de cele mai multe ori, se vindecă fără sechele; examinarea cardiacă prin rezonanță magnetică este singura modalitate de a evidenția „in vivo” edemul miocardic şi, în plus, în acest caz este utilă deoarece evidențiază lipsa necrozei miocardice.
NB Următoarele trei precizări vor fi listate după fiecare caz, cu scop de popularizare a științei.
- Pacienții care au tratament cu METFORMIN și au indicație de efectuare a unei examinări cu substanța de contrast iodată NU trebuie să întrerupă tratamentul dacă au GFR mai mare de 30 ml / minut. https://ghidradiologie.ro/ghid-de-utilizare-a-substantelor-de-contrast/
- Reacțiile alergice la substanța de contrast pe bază de iod nu sunt de tip anafilactic; singura metodă de prevenție a unei reacții alergice reprezintă evitarea alergenului, de aceea orice injectare de substanță de contrast trebuie motivată și validată de radiolog, după analiza raportului risc / beneficiu. Testarea la pacienții care nu au mai primit substanță de contrast nu este indicată sau concludentă (neputând prevedea apariția unei reacții ulterioare), fiind chiar contraindicată (putând genera ea însăși o reacție). Dacă pacientul a avut o reacție imediată după administrarea substanței de contrast se recomandă o analiză alergologică. https://ghidradiologie.ro/ghid-de-utilizare-a-substantelor-de-contrast/
- Administrarea substanței de contrast pentru o examinare imagistică precum și justificarea iradierii pacienților SUNT ATRIBUTUL MEDICULUI RADIOLOG.
Bibliografie:
- Ahmed T, Lodhi SH, Haigh PJ, Sorrell VL. The many faces of takotsubo syndrome: A review. Curr Probl Cardiol. 2024 Mar;49(3):102421. doi: 10.1016/j.cpcardiol.2024.102421. Epub 2024 Jan 20. PMID: 38253114.
- Amin HZ, Amin LZ, Pradipta A. Takotsubo Cardiomyopathy: A Brief Review. J Med Life. 2020 Jan-Mar;13(1):3-7. doi: 10.25122/jml-2018-0067. PMID: 32341693; PMCID: PMC7175432.
- Kato K, Lyon AR, Ghadri JR, Templin C. Takotsubo syndrome: aetiology, presentation and treatment. Heart. 2017 Sep;103(18):1461-1469. doi: 10.1136/heartjnl-2016-309783. PMID: 28839096.