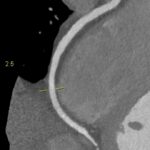
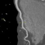
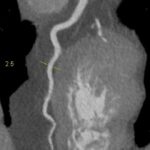
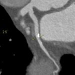
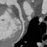
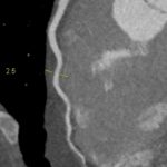
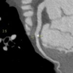
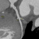
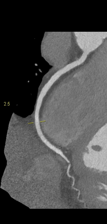
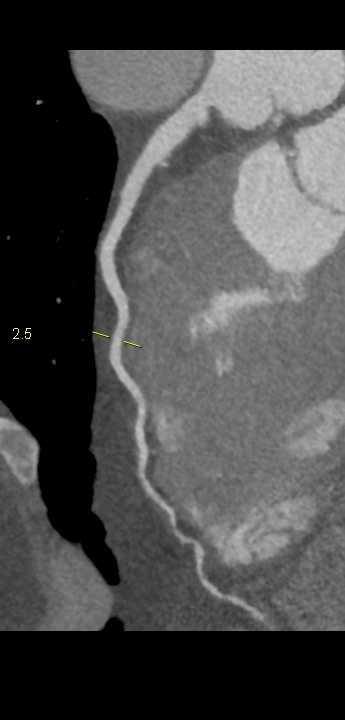
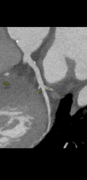
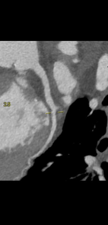
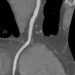
Figururile 1-9: reconstrucție în axul lung al vasului pentru arterele coronare cu evidențierea unui calibru global crescut la nivelul acestora și cu încărcătură ușoară-moderată de placă în principal calcificată
Video 1: axial MIP din achiziție coroCT cu sincronizare ECG
Video 2: reconstrucție VRT din achiziție coroCT cu sincronizare ECG
Discuţie caz nr 132: Examinările coroCT se efectuează în principal pentru aprecierea încărcăturii de placă precum și pentru evidențierea reducerilor de lumen ce necesită tratament. Această examinare a evidențiat creștere globală a calibrului arterelor coronare și o încărcătură ușoară-moderată cu placă în principal calcificată, fără a se evidenția arii de stenoză.
Indicația de examinare în ghidradiologie.ro https://ghidradiologie.ro/aparat-cardiovascular/boala-coronariana-cronica-si-evaluare-post-ima/
DE LUAT ACASĂ!!! Ectazia coronariană este o afecțiune rară caracterizată prin dilatarea anormală (diametrul vasului este de 1.5 ori mai mare) a arterelor coronare, care poate duce la afectarea fluxului sanguin și la un risc crescut de ischemie. Etiologia nu este cunoscută iar afecțiunea poate fi asociată cu ateroscleroză sau factori congenitali și reprezintă o provocare atât în diagnostic, cât și în tratament. Simptomele se suprapun adesea cu cele ale altor boli coronariene, ceea ce face ca identificarea timpurie să fie crucială. Opțiunile de tratament variază de la tratamentul medical cu terapie antiplachetară sau anticoagulantă până la proceduri intervenționale, cum ar fi angioplastia sau intervenția chirurgicală, în funcție de severitatea și riscul de complicații. Tratamentul pe termen lung se concentrează pe prevenirea evenimentelor ischemice și pe abordarea cauzelor care stau la baza acestora.
NB Următoarele trei precizări vor fi listate după fiecare caz, cu scop de popularizare a științei.
- Pacienții care au tratament cu METFORMIN și au indicație de efectuare a unei examinări cu substanța de contrast iodată NU trebuie să întrerupă tratamentul dacă au GFR mai mare de 30 ml / minut. https://ghidradiologie.ro/ghid-de-utilizare-a-substantelor-de-contrast/
- Reacțiile alergice la substanța de contrast pe bază de iod nu sunt de tip anafilactic; singura metodă de prevenție a unei reacții alergice reprezintă evitarea alergenului, de aceea orice injectare de substanță de contrast trebuie motivată și validată de radiolog, după analiza raportului risc / beneficiu. Testarea la pacienții care nu au mai primit substanță de contrast nu este indicată sau concludentă (neputând prevedea apariția unei reacții ulterioare), fiind chiar contraindicată (putând genera ea însăși o reacție). Dacă pacientul a avut o reacție imediată după administrarea substanței de contrast se recomandă o analiză alergologică. https://ghidradiologie.ro/ghid-de-utilizare-a-substantelor-de-contrast/
- Administrarea substanței de contrast pentru o examinare imagistică precum și justificarea iradierii pacienților SUNT ATRIBUTUL MEDICULUI RADIOLOG.
Bibliografie:
- Subhan S, Sami A, Akhtar W, Jan MU, Ullah A, Malik J. Association of Epicardial Fat Volume with Coronary Artery Ectasia and Coronary Artery Disease. Angiology. 2023 Jul;74(6):563-568. doi: 10.1177/00033197221124776. Epub 2022 Aug 30. PMID: 36039654.
- Vieyra-Herrera G, García-Navarrete MG, Dámazo-Escobedo CA, González-Pacheco H, Rodríguez-Chavez LL, Silva-Ruz C. Outlook of coronary ectasia at the National Institute of Cardiology Ignacio Chávez: a cross-sectional study. Arch Cardiol Mex. 2023;93(2):197-202. English. doi: 10.24875/ACM.21000380. PMID: 37037216; PMCID: PMC10161814.
- Ben Abderrahim S, Gharbaoui M, Zaara MA, Rammeh-Rommani S, Hamdoun M, Ben Khelil M. Fatal coronary ectasia: An autopsy case report and review of literature. J Forensic Leg Med. 2021 Apr;79:102132. doi: 10.1016/j.jflm.2021.102132. Epub 2021 Feb 24. PMID: 33667793.








