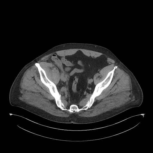
Figura 1: reconstrucție oblic axială din achiziție CT fără contrast posttraumatic imediat

Figura 2: reconstrucție oblic sagitală din achiziție CT fără contrast posttraumatic imediat

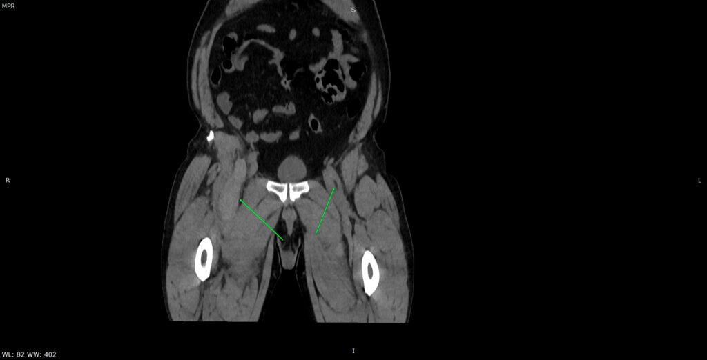
Figura 3: reconstrucție oblic coronală din achiziție CT fără contrast posttraumatic imediat

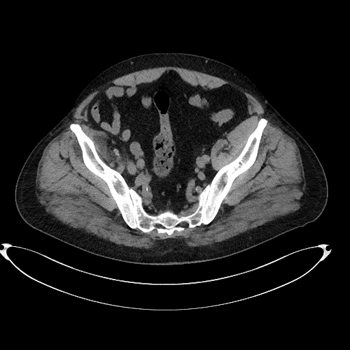
Figura 4: reconstrucție oblic axială din achiziție CT fără contrast control după 22 luni

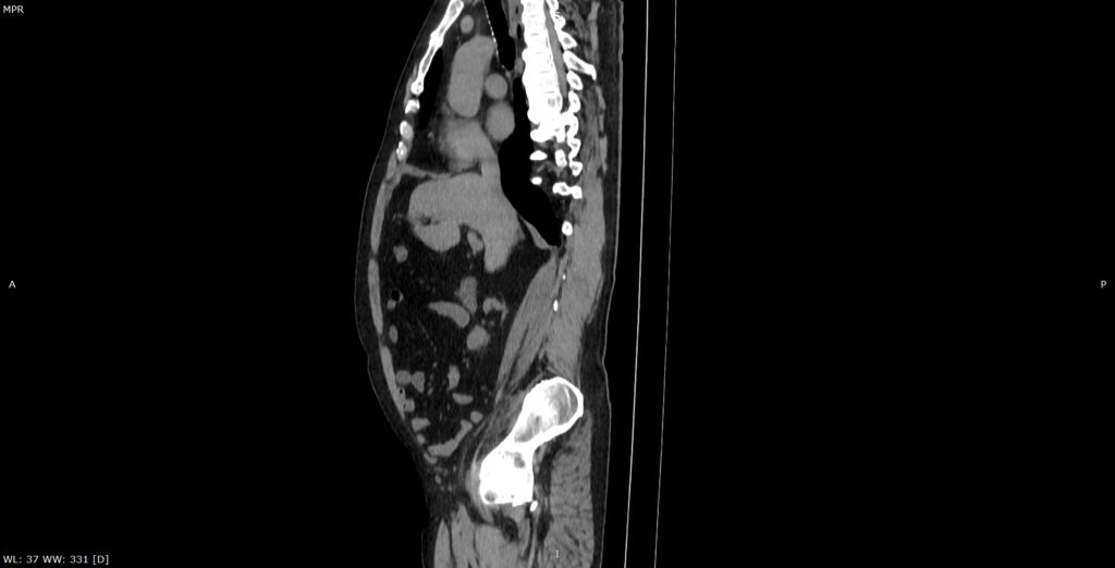
Figura 5: reconstrucție oblic sagitală din achiziție CT fără contrast control după 22 luni

Figura 6: reconstrucție oblic coronală din achiziție CT fără contrast control după 22 luni

Video 1: achiziție CT fără contrast posttraumatic imediat
Video : achiziție CT fără contrast control după 22 luni
Discuţie caz nr 134: Pe imaginile achiziționate fără substanță de contrast se remarcă creștere marcată de volum a muschiului ilio-psoas drept în două treimi distale cu evidențierea unei plaje întinse cu densități sangvine ce sugerează prezența unui hematom posttraumatic; nu se evidențiază traiecte de fractură. Achiziția de control după 22 de luni evidențiază reducerea grosimii corpului muscular ilio-psoas drept cu încărcare grăsoasă care, pe alocuri, afectează aproape complet corpul muscular.
Indicația de examinare în ghidradiologie.ro https://ghidradiologie.ro/traumatisme/politraumatism/
- DE LUAT ACASĂ!!! Diagnosticul diferențial al hematomului de muşchi ilio-psoas este cu hemoragia retroperitoneală care este situată anterior de mușchiul psoas şi cu abcesul psoic. În poli traumă CT este utilă în special pentru excluderea hemoragiei mediastinale și a leziunilor aortice. Examenul CT al întregului corp (whole body) detectează leziuni clinic oculte, înlocuiește nevoia efectuării radiografiilor cervicale și de bazin și crește șansele de supraviețuire în traumatismele majore.
NB Următoarele trei precizări vor fi listate după fiecare caz, cu scop de popularizare a științei.
- Pacienții care au tratament cu METFORMIN și au indicație de efectuare a unei examinări cu substanța de contrast iodată NU trebuie să întrerupă tratamentul dacă au GFR mai mare de 30 ml / minut. https://ghidradiologie.ro/ghid-de-utilizare-a-substantelor-de-contrast/
- Reacțiile alergice la substanța de contrast pe bază de iod nu sunt de tip anafilactic; singura metodă de prevenție a unei reacții alergice reprezintă evitarea alergenului, de aceea orice injectare de substanță de contrast trebuie motivată și validată de radiolog, după analiza raportului risc / beneficiu. Testarea la pacienții care nu au mai primit substanță de contrast nu este indicată sau concludentă (neputând prevedea apariția unei reacții ulterioare), fiind chiar contraindicată (putând genera ea însăși o reacție). Dacă pacientul a avut o reacție imediată după administrarea substanței de contrast se recomandă o analiză alergologică. https://ghidradiologie.ro/ghid-de-utilizare-a-substantelor-de-contrast/
- Administrarea substanței de contrast pentru o examinare imagistică precum și justificarea iradierii pacienților SUNT ATRIBUTUL MEDICULUI RADIOLOG.
Bibliografie:
- El Boté H, Boughaleb A, Lakssir J, Bellouki O, El Anbari Y. Spontaneous Iliopsoas Hematoma in a Patient on Acenocoumarol: Report of a Rare Case. Cureus. 2023 May 8;15(5):e38730. doi: 10.7759/cureus.38730. PMID: 37292568; PMCID: PMC10246924.
- Rodriguez-Merchan EC, De la Corte-Rodriguez H. Iliopsoas hematomas in people with hemophilia: diagnosis and treatment. Expert Rev Hematol. 2020 Aug;13(8):803-809. doi: 10.1080/17474086.2020.1787146. Epub 2020 Jul 5. PMID: 32574080. Lenchik L, Dovgan DJ, Kier R. CT of the iliopsoas compartment: value in differentiating tumor, abscess, and hematoma. AJR Am J Roentgenol. 1994 Jan;162(1):83-6. doi: 10.2214/ajr.162.1.8273696. PMID: 8273696.