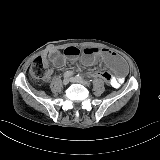
Figura 1: axial venos din achiziție CT torace, abdomen și pelvis

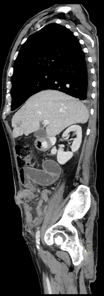
Figura 2: sagital venos din achiziție CT torace, abdomen și pelvis

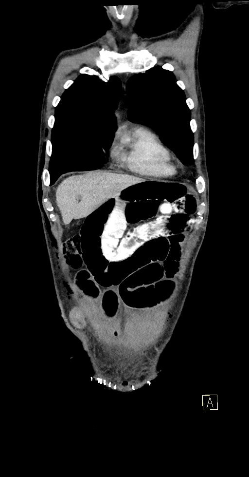
Figura 3: coronal venos din achiziție CT torace, abdomen și pelvis

Video 1: achiziție axial arterial din achiziție CT torace, abdomen și pelvis
Video 2: achiziție axial venos din achiziție CT torace, abdomen și pelvis
Video 3: achiziție sagital venos din achiziție CT torace, abdomen și pelvis
Discuţie caz nr 124: Pacient postoperator precoce pentru tumoră rectala prezintă simptome de ocluzie intestinală. Examinarea CT evidențiază creștere de calibru a anselor intestinale proximale ce conțin nivele hidro-aerice cu decalibrare la nivelul liniei antero-laterale de partea dreaptă unde evoluează o ansa de intestin subțire. Deasemenea, pacientul prezintă o hernie inghinală stânga fără ca aceasta sa fie cauză de ocluzie, precum și modificări postoperator precoce la nivelul peretelui anterior abdomino-pelvin.
Indicația de examinare în ghidradiologie.ro https://ghidradiologie.ro/aparat-digestiv/sindrom-ocluziv/
DE LUAT ACASĂ!!! Herniile de linie Spiegel, cunoscute și sub denumirea de hernii ventrale laterale, sunt un tip de hernie abdominală de-a lungul liniei semilunare, rezultând o hernie între mușchii peretelui abdominal. Hernia Spiegel este o hernie antero-laterală abdominală spontană rară (0,12% din herniile abdominale) la pacienții cu vârsta cuprinsă între 40 și 70 de ani; la pacienții pediatrici asociază frecvent un testicul cu poziție înaltă. Există factori de risc precum hiperpresiunea intraabdominală secundară obezității morbide, sarcinilor multiple și tusei cronice. Strangularea rămâne o complicație rară, dar gravă, care poate pune viața în pericol. Tomografia computerizată abdominală permite diagnosticul și evidențiază complicațiile, în special hernia strangulată.
NB Următoarele trei precizări vor fi listate după fiecare caz, cu scop de popularizare a științei.
- Pacienții care au tratament cu METFORMIN și au indicație de efectuare a unei examinări cu substanța de contrast iodată NU trebuie să întrerupă tratamentul dacă au GFR mai mare de 30 ml / minut. https://ghidradiologie.ro/ghid-de-utilizare-a-substantelor-de-contrast/
- Reacțiile alergice la substanța de contrast pe bază de iod nu sunt de tip anafilactic; singura metodă de prevenție a unei reacții alergice reprezintă evitarea alergenului, de aceea orice injectare de substanță de contrast trebuie motivată și validată de radiolog, după analiza raportului risc / beneficiu. Testarea la pacienții care nu au mai primit substanță de contrast nu este indicată sau concludentă (neputând prevedea apariția unei reacții ulterioare), fiind chiar contraindicată (putând genera ea însăși o reacție). Dacă pacientul a avut o reacție imediată după administrarea substanței de contrast se recomandă o analiză alergologică. https://ghidradiologie.ro/ghid-de-utilizare-a-substantelor-de-contrast/
- Administrarea substanței de contrast pentru o examinare imagistică precum și justificarea iradierii pacienților SUNT ATRIBUTUL MEDICULUI RADIOLOG.
Bibliografie:
- Bouali M, El Attar L, Elhattabi K, Elbakouri A, Bensardi F, Fadil A. Strangulated Spiegel hernia: About a case and literature review. Ann Med Surg (Lond). 2021 May 28;66:102453. doi: 10.1016/j.amsu.2021.102453. PMID: 34141424; PMCID: PMC8188248.
- Arredondo Montero J, Rico-Jiménez M. Pediatric Spigelian Hernia and Spigelian-Cryptorchidism Syndrome: An Integrative Review. Children (Basel). 2025 Aug 25;12(9):1120. doi: 10.3390/children12091120. PMID: 41006985; PMCID: PMC12468178.
- Taha A, Algethami NE, AlQurashi R, Alnemari AK. Outcome of Orchidopexy in Spigelian Hernia-Undescended Testis Syndrome. Cureus. 2021 Mar 5;13(3):e13714. doi: 10.7759/cureus.13714. PMID: 33833925; PMCID: PMC8018874.