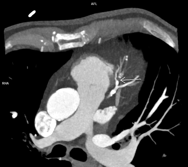
Figura 1: reconstrucție mutiplanară MIP din achiziție angioCT coronariană cu sincronizare ECG

Figura 2: reconstrucție volumică din achiziție angioCT coronariană cu sincronizare ECG

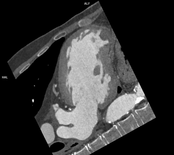
Figura 3: reconstrucție mutiplanară 4 camere din achiziție angioCT coronariană cu sincronizare ECG

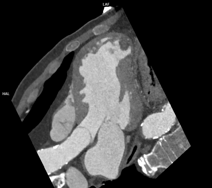
Figura 4: reconstrucție mutiplanară 2 camere din achiziție angioCT coronariană cu sincronizare ECG

Figura 5: reconstrucție mutiplanară în planul tractului de ejecție VS din achiziție angioCT coronariană cu sincronizare ECG

Video 1: reconstrucție ortogonală multiplanară și volumică din achiziție angioCT coronariană cu sincronizare ECG
Discuţie caz nr 120: Achiziția angioCT coronariană cu sincronizare ECG evidențiază ocluzie a arterei descendente anterioare în segmentul mediu cu hipokinezie severă / diskinezie a miocardului deservit și formarea unui anevrism antero-septal și apical ventricular stâng ce este locuit de un tromb.
Indicația de examinare în ghidradiologie.ro https://ghidradiologie.ro/aparat-cardiovascular/sindrom-coronarian-acut/
DE LUAT ACASĂ!!! Examinarea angioCT coronariană este actual indicație de clasa 1 la pacienții cu sindrom coronarian cronic conform ghidului Societății Europene de Cardiologie la pacienții cu risc intermediar pretest de boli cardio-vasculare; poate evidenția încărcarea aterosclerotică prin descrierea plăcilor cu și fără calcificări incluse și are valoare predictivă negativă mare – prin tendința de a supraestima gradul de stenoză.
NB Următoarele trei precizări vor fi listate după fiecare caz, cu scop de popularizare a științei.
- Pacienții care au tratament cu METFORMIN și au indicație de efectuare a unei examinări cu substanța de contrast iodată NU trebuie să întrerupă tratamentul dacă au GFR mai mare de 30 ml / minut. https://ghidradiologie.ro/ghid-de-utilizare-a-substantelor-de-contrast/
- Reacțiile alergice la substanța de contrast pe bază de iod nu sunt de tip anafilactic; singura metodă de prevenție a unei reacții alergice reprezintă evitarea alergenului, de aceea orice injectare de substanță de contrast trebuie motivată și validată de radiolog, după analiza raportului risc / beneficiu. Testarea la pacienții care nu au mai primit substanță de contrast nu este indicată sau concludentă (neputând prevedea apariția unei reacții ulterioare), fiind chiar contraindicată (putând genera ea însăși o reacție). Dacă pacientul a avut o reacție imediată după administrarea substanței de contrast se recomandă o analiză alergologică. https://ghidradiologie.ro/ghid-de-utilizare-a-substantelor-de-contrast/
- Administrarea substanței de contrast pentru o examinare imagistică precum și justificarea iradierii pacienților SUNT ATRIBUTUL MEDICULUI RADIOLOG.
Bibliografie:
- Renker M, Schoepf UJ, Kim WK. Combined CT Coronary Artery Assessment and TAVI Planning. Diagnostics (Basel). 2023 Apr 3;13(7):1327. doi: 10.3390/diagnostics13071327. PMID: 37046545; PMCID: PMC10093468.
- Guo B, Jiang M, Guo X, Tang C, Zhong J, Lu M, Liu C, Zhang X, Qiao H, Zhou F, Xu P, Xue Y, Zheng M, Hou Y, Wang Y, Zhang J, Zhang B, Zhang D, Xu L, Hu X, Zhou C, Li J, Yang Z, Mao X, Lu G, Zhang L. Diagnostic and prognostic performance of artificial intelligence-based fully-automated on-site CT-FFR in patients with CAD. Sci Bull (Beijing). 2024 May 30;69(10):1472-1485. doi: 10.1016/j.scib.2024.03.053. Epub 2024 Mar 27. PMID: 38637226.