


Examinarea CT nu se face de rutină pentru control după montarea stentului, ci dacă există suspiciunea de boală coronariană nou apărută. La pacienții cu suspiciunea de boală coronariană semnificativă nou apărută, examinarea de elecţie este coronarografia invazivă deoarece este gold standard şi poate face în aceeaşi sedinţă diagnostic şi tratament.
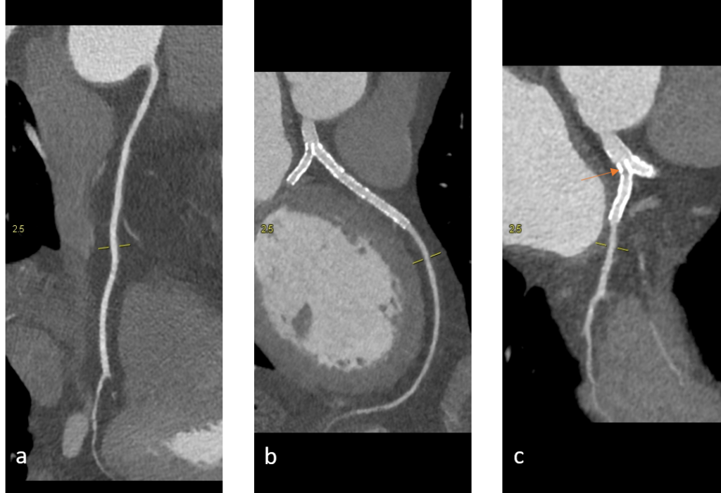
Stenturile situate proximal la nivelul arterelor coronare au lumen suficient de mare ca să poate fi vizualizat prin CT, însă cu cat lumenul e mai mic şi / sau cantitatea de metal din peretele stentului este mai mare, lumenul stentului e mai greu de vizualizat. Examinarea CT NU poate vizualiza sensul de curgere al sângelui, de aceea faptul că după stent se pune în evidenţă densitate intraluminală egală cu cea din vasele de vecinătate, nu înseamnă ca stentul este permeabil; contrastul poate că a ajuns aici prin colaterale ca flux retrograd.
Indicația de examinare https://ghidradiologie.ro/aparat-cardiovascular/boala-coronariana-cronica-si-evaluare-post-ima/ în ghidradiologie.ro
DE LUAT ACASĂ!!!
Stenturile coronariene proximale sunt în general corect evaluate prin examinare angioCT cardiacă cu sincronizare ECG pe aparate cu cel putin 64 de detectori. Prin examinare CT nu se poate vizualiza sensul de curgere a sângelui.
NB Următoarele trei precizări vor fi listate după fiecare caz, cu scop de popularizare a științei.
- Pacienții care au tratament cu METFORMIN și au indicație de efectuare a unei examinări cu substanța de contrast iodată NU trebuie să întrerupă tratamentul dacă au GFR mai mare de 30 ml / minut. https://ghidradiologie.ro/ghid-de-utilizare-a-substantelor-de-contrast/
- Reacțiile alergice la substanța de contrast pe bază de iod nu sunt de tip anafilactic; singura metodă de prevenție a unei reacții alergice reprezintă evitarea alergenului, de aceea orice injectare de substanță de contrast trebuie motivată și validată de radiolog, după analiza raportului risc / beneficiu. Testarea la pacienții care nu au mai primit substanță de contrast nu este indicată sau concludentă (neputând prevedea apariția unei reacții ulterioare), fiind chiar contraindicată (putând genera ea însăși o reacție). Dacă pacientul a avut o reacție imediată după administrarea substanței de contrast se recomandă o analiză alergologică. https://ghidradiologie.ro/ghid-de-utilizare-a-substantelor-de-contrast/
- Administrarea substanței de contrast pentru o examinare imagistică precum și justificarea iradierii pacienților SUNT ATRIBUTUL MEDICULUI RADIOLOG.
Bibliografie:
- Xu C, Yi Y, Xu M, Yan J, Guo YB, Wang J, Wang Y, Li YM, Jin ZY, Wang YN. Coronary Artery Stent Evaluation by CTA: Impact of Deep Learning Reconstruction and Subtraction Technique. AJR Am J Roentgenol. 2023 Jan;220(1):63-72. doi: 10.2214/AJR.22.27983. Epub 2022 Aug 10. PMID: 35946861.
- Bittencourt MS, Gualandro DM. Coronary CTA works for preoperative risk stratification, but do we know when and how to use it? Heart. 2019 Sep;105(17):1300-1301. doi: 10.1136/heartjnl-2019-315152. Epub 2019 Jun 1. PMID: 31154432.
- Kim JH, Baek SE, Kim YJ, Suh YJ. Coronary CTA for Acute Chest Pain in the Emergency Department: Comparison of 64-Detector-Row Single-Source and Third-Generation Dual-Source Scanners. AJR Am J Roentgenol. 2023 Jul;221(1):80-90. doi: 10.2214/AJR.22.28963. Epub 2023 Mar 1. PMID: 36856300.