Skip to content
Ghid radiologie
  • Ghid de utilizare a substantelor de contrast
  • Cazuri
  • Legenda abrevieri
  • Sugestii
  • Contact
Facebook
Ghid radiologie

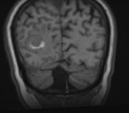
CAZ nr 95: Leziuni intracerebrale de tip hemoragic în evoluţie – probabil amiloidoză cerebrală.

0

Video 1: axial T2 comparativ trei examinari în evoluţie

Video 2: axial FLAIR comparativ trei examinari în evoluţie

Video 3: achiziţie SWI cea mai recentă examinare

Video 4: coronal T1 comparativ trei examinari în evoluţie

Video 5: coronal T1 postcontrast comparativ trei examinari în evoluţie

Discuţie caz nr 95: prima examinare la o pacienta cu cefalee, amețeli – suspiciunea a fost de determinări secundare cerebrale probabil melanom iar pacienta a completat cu PET-CT cu protocol de melanom care a fost negativ. Două luni mai târziu pacienta repetă examinarea IRM înaintea unei puncții intracerebrale pentru diagnostic și s-a evidențiat reducere marcată a volumului lezional. Iar ultima investigație a fost realizată pentru simptomatologie neurologică nou apărută. Comparând cele trei examinări, se remarcă prezența de multiple leziuni infra și supratentorial cu aspect de sângerare care involuează în timp iar suspiciunea este de amiloidoză izolată intracerebrală.

 

Indicația de examinare în ghidradiologie.ro https://ghidradiologie.ro/cap/cefalee-progresive-neobisnuite/

 

DE LUAT ACASĂ!!! IRM cu angioRM este indicată pentru detectarea cauzei cefaleei progresive. Tromboza venoasă trebuie cautată sistematic.

 

NB Următoarele trei precizări vor fi listate după fiecare caz, cu scop de popularizare a științei.

  1. Pacienții care au tratament cu METFORMIN și au indicație de efectuare a unei examinări cu substanța de contrast iodată NU trebuie să întrerupă tratamentul dacă au GFR mai mare de 30 ml / minut. https://ghidradiologie.ro/ghid-de-utilizare-a-substantelor-de-contrast/

 

  1. Reacțiile alergice la substanța de contrast pe bază de iod nu sunt de tip anafilactic; singura metodă de prevenție a unei reacții alergice reprezintă evitarea alergenului, de aceea orice injectare de substanță de contrast trebuie motivată și validată de radiolog, după analiza raportului risc / beneficiu. Testarea la pacienții care nu au mai primit substanță de contrast nu este indicată sau concludentă (neputând prevedea apariția unei reacții ulterioare), fiind chiar contraindicată (putând genera ea însăși o reacție). Dacă pacientul a avut o reacție imediată după administrarea substanței de contrast se recomandă o analiză alergologică. https://ghidradiologie.ro/ghid-de-utilizare-a-substantelor-de-contrast/

 

  1. Administrarea substanței de contrast pentru o examinare imagistică precum și justificarea iradierii pacienților SUNT ATRIBUTUL MEDICULUI RADIOLOG.

 

Bibliografie:

  1. Cozza M, Amadori L, Boccardi V. Exploring cerebral amyloid angiopathy: Insights into pathogenesis, diagnosis, and treatment. J Neurol Sci. 2023 Nov 15;454:120866. doi: 10.1016/j.jns.2023.120866. Epub 2023 Nov 2. PMID: 37931443.
  2. Cozza M, Amadori L, Boccardi V. Exploring cerebral amyloid angiopathy: Insights into pathogenesis, diagnosis, and treatment. J Neurol Sci. 2023 Nov 15;454:120866. doi: 10.1016/j.jns.2023.120866. Epub 2023 Nov 2. PMID: 37931443.
Trimite informația mai departe
Post navigation
Previous post

CAZ nr 94: Anevrism aortă – angioCT (tehnică)

Next post

CAZ nr 96: Boala Barlow – prolaps de valvă mitrală cu disjuncţie de inel mitral si fenomen de curbare posterioară.

Related Posts

Categories Cazuri CAZ nr 95: Leziuni intracerebrale de tip hemoragic în evoluţie – probabil amiloidoză cerebrală.

CAZ nr 131: Cistită emfizematoasă

Categories Cazuri CAZ nr 95: Leziuni intracerebrale de tip hemoragic în evoluţie – probabil amiloidoză cerebrală.

CAZ nr 130: Arc aortic la dreapta și diverticul de arteră subclavie stângă (Diverticulul Kommerell)

Categories Cazuri CAZ nr 95: Leziuni intracerebrale de tip hemoragic în evoluţie – probabil amiloidoză cerebrală.

CAZ nr 129: Schwannom nerv vag

Leave a Comment Cancel reply

  • Aparat cardiovascular
    • Agenezie de pericard
    • Anevrism aortă abdominală
    • Anevrism aorta abdominală asimptomatic
    • Anevrism aortă toracală
    • Anevrism de aortă abdominală simptomatic
    • Anevrisme vase periferice (iliace, femurale, popliteale, renale, mezenterice sau celiace)
    • Arteriopatii periferice simptomatice
    • Boala coronariană cronică și evaluare post IMA
    • Caracterizarea unei mase cardiace / pericardice
    • Cardiomiopatie hipertrofică
    • Cardiomiopatie hipertrofică cu suspiciune de amiloidoză transtiretina
    • Cardiopatii congenitale
    • Embolie pulmonară
    • Explorarea non-invazivă a ischemiei miocardice
    • Fistula de hemodializă
    • Hipertensiune arterială asociată cu o stenoză ateromatoasă
    • Hipertensiune arterială consecutiv unei fibrodisplazii de arteră renală
    • HTA – evaluarea cardiacă (vezi și evaluare vasculară renală)
    • Infarct miocardic în antecedente cu agravarea stării clinice
    • Insuficiența cardiacă
    • Insuficienţă renală consecutiv unei stenoze ateromatoase
    • Ischemie acută şi subacută a membrelor inferioare de cauză embolică
    • Ischemie cronică mezenterică
    • Ischemie de membru inf. (ocluzie iliacă)
    • Ischemie de membru inferioara (stenoză iliacă)
    • Ischemie de membru inferior (ocluzia arterelor gambei)
    • Ischemie de membru inferior (ocluzie femurală)
    • Malformaţie arterio-venoasă pulmonară
    • Malformații vasculare
    • Obstrucţie de VCS
    • Ocluzie venoasa la pacienti cu fistula AV de dializa
    • Pericardită constrictivă
    • Pericardită cu evoluție trenantă sau recidivă
    • Pericardită simplă
    • Sindrom aortic acut
    • Sindrom coronarian acut
    • Stenoza artera vertebrala simptomatica
    • Stenoza carotidiana asimptomatica
    • Stenoză carotidiană simptomatică
    • Stenoza venoasa la pacienti cu fistula AV de dializa
    • Stenoza/ocluzie artera subclavie asimptomatica
    • Stenoza/ocluzie artera subclavie simptomatica
    • Suspiciune de cardiomiopatie aritmogenă de ventricul drept (CAVD), aritmii
    • Suspiciune de cardiomiopatie sau miocardită
    • Suspiciune de tromboză intracardiacă
    • Suspiciune de valvulopatie dobandită
    • Traumatism al aortei toracice
    • Tromboză venoasă membre inferioare
    • Tromboză venoasă pelvină
    • Tromboza venoasa profunda acuta
    • Varicocel
    • Viabilitate miocardică
  • Aparat digestiv
    • Abces pelvin
    • Abces subfrenic
    • Afectiuni intestinale exceptand cele inflamatorii cronice – suspiciune tumori endocrine
    • Ascită prin hipertensiune portală
    • Cancer colorectal sau anal – bilant de extensie
    • Cancer de rect sau colon – urmarire
    • Cancer de rect sau de anus stadializare locala
    • Cancer de rect, de colon sau de anus bilant de extensie
    • Cancerul colorectal
    • Cancerul de stomac – diagnostic si bilanţ de extensie
    • Cancerul esofagian – diagnostic şi bilanţ de extensie
    • Caracterizarea unei leziuni hepatice descoperita accidental in examenul ecografic standard
    • Cholangiocarcinom și cancer al colecistului
    • Ciroză hepatica. Caracterizarea unui nodul hepatic
    • Colecistită acută
    • Detectia unei leziuni hepatice de tip primar/secundar
    • Disfagia înaltă sau joasă
    • Dispepsia – gastropareza
    • Durerea abdominala acuta – urgenta chirurgicala
    • Durerea toracică – suspiciunea de hernie hiatală sau de reflux
    • Hemoragie digestivă gravă din varice esofagiene
    • Hemoragie digestivă înaltă cronică
    • Hemoragie digestivă înaltă gravă, fără cauză evidentă
    • Hemoragie digestivă inferioară gravă
    • Hemoragie gastro-intestinală ocultă – bilanţ
    • Hemoroizii
    • Hepatocarciom
    • Hepatopatie cronica difuza
    • Icter
    • Maladia Crohn intestinala
    • Maladia inflamatorie a colonului
    • Metastaze hepatice, bilant de rezecabilitate
    • Nutriţie enterală
    • Obstrucţie biliară înaltă
    • Obstrucţie biliară joasă
    • Pancreatită acută
    • Pancreatită cronică
    • Patologie biliară (în particular litiazică)
    • Polipul colorectal depistare
    • Sângerare gastro-intestinală acută
    • Sangerare gastro-intestinală ocultă -bilanţ
    • Sindrom ocluziv
    • Stadializarea unei tumori hepatice primare (ex.carcinom hepatocelular)
    • Suspiciune de fistulă biliară – antecedente recente de chirurgie digestivă
    • Suspiciune de fistulă esofagiană sau anastomotică – antecedente recente de chirurgie digestivă (esofag, stomac)
    • Suspiciunea de perforaţie esofagiană
    • Suspiciunea de sângerare gastro-intestinală acută
    • Traumatisme grave ale abdomenului cu hemoragie severa – traumatisme hepatice hemodinamic instabile – embolizare in urgenta
    • Tumoră endocrină pancreatică
    • Tumoră hepatică ce necesită biopsie
    • Tumoră hepatică nerezecabilă
    • Tumora pancreasului exocrin
    • Ulcerul gastro-duodenal monitorizare
  • Aparat locomotor
    • Afecţiune sinovială de natură nedeterminată
    • Artropatie inflamatorie – bilant initial
    • Artropatie inflamatorie – monitorizare
    • Coxalgie
    • Dureri articulare sau periarticulare
    • Fasceita plantara
    • Formatiune tumorala de parti moi – bilant de extensie
    • Formatiune tumorala de parti moi – bilant diagnostic
    • Formatiune tumorala osoasa primitiva – bilant de extensie
    • Formatiune tumorala osoasa primitiva – bilant diagnostic
    • Gonalgie (simptomatologie clinică de gonartroză )
    • Gonalgie (simptomatologie clinică meniscală, condropatie sau prezența de corp străin)
    • Gonalgie determinată de leziuni femuro-patelare
    • Halux valgus
    • Leziune de părţi moi de natură nedeterminată
    • Leziune osoasă focală de natură nedeterminată
    • Leziuni tumorale sau pseudotumorale de părţi moi
    • Necroza aseptica de cap femural
    • Nevralgie cervico-brahiala
    • Osteomalacie
    • Osteomielita – suspiciune
    • Patologia umărului
    • Sindrom dureros post protezare
    • Tendinopatii calcifiante simptomatice a musculaturii rotatorii humerale
    • Umăr dureros
    • Umăr dureros instabil
  • Aparat uro-genital şi glande suprarenale
    • Adenomioza uterina
    • Anomaliile de placentatie
    • Avorturi spontane multiple
    • Calcul renal în absenţa colicii nefretice (vezi și capitolul Radiologie intervențională)
    • Durere şi/sau masă scrotală
    • Evaluarea funcţiei renale: – evaluarea funcţiei renale globale – evaluarea funcţiei renale relative (a fiecărui rinichi în parte)
    • Evaluarea transplantului renal
    • Fistulele arterio-venoase pelvine
    • Hematurie (macroscopică sau microscopică persistentă fără proteinurie semnificativă)
    • Hemoragii acute in sfera genitala
    • Hemoragii cronice in sfera genitala
    • Hiperplazie benigna de prostata
    • Hipertensiune arterială (fără boală renală cunoscută)
    • Hipertensiune arterială (la adult tânăr sau unde pacientul nu răspunde la tratamentul medical) (v. și capitolul Radiologie intervențională)
    • Imagistica hiperaldosteronismului primar (sdr. Conn)
    • Imagistica suprarenaliană a sdr. Cushing (Leziuni suprarenaliene sau ectopice)
    • Impotenţă
    • Incidentalom suprarenalian (leziune suprarenaliană descoperită întâmplător)
    • Infecţie urinară- la adult (v. și capitolul Pediatrie)
    • Infertilitate -vezi capitolulul Obstetrică-Ginecologiue
    • Infertilitate feminină
    • Insuficienţă renală (v. și capitolul Radiologie intervențională)
    • Leiomiomul uterin
    • Malformatiile arterio-venoase pelvine
    • Masă tumorală renală
    • Metroragii postmenopauzale / Menometroragii
    • Nefropatie de etiologie neprecizata
    • Obstrucţie urinară înaltă ac. sau cronică
    • Polifibromatoza uterina
    • Retenţie acută de urină
    • Sarcina ectopica
    • Sindrom obstructiv înalt
    • Sindrom obstructiv jos
    • Suspiciune de colică nefretică (v. și capitolul Radiologie intervențională)
    • Torsiune de cordon spermatic
    • Tumori medulosuprarenaliene (feocromocitom)
    • Varicele periuterine
    • Viabilitate grefon renal
  • Cancer
    • Bilanţul adenopatiilor cervicale fără cancer primitiv cunoscut
    • Cancer anal. Diagnostic
    • Cancer anal. Monitorizare
    • Cancer anal. Stadializare
    • Cancer anal. Urmarire
    • Cancer bronho-pulmonar. Diagnostic
    • Cancer bronho-pulmonar. Neoplasm bronhopulmonar – bilanț preterapeutic
    • Cancer bronho-pulmonar. Neoplasm bronhopulmonar – diagnostic – suspiciune clinică
    • Cancer bronho-pulmonar. Neoplasm bronhopulmonar – stadializare
    • Cancer bronho-pulmonar. Neoplasm bronhopulmonar – supraveghere
    • Cancer bronho-pulmonar. Nodul pulmonar, aflat in contact cu peretele toracic
    • Cancer bronho-pulmonar. Pacient cu tumora pulmonara
    • Cancer bronho-pulmonar. Stadializare
    • Cancer de col uterin. Recidive
    • Cancer de col uterin. Stadializare
    • Cancer de colon. Diagnostic
    • Cancer de colon. Monitorizare
    • Cancer de colon. Stadializare
    • Cancer de corp uterin. Diagnostic
    • Cancer de corp uterin. Stadializare
    • Cancer de rect. Diagnostic
    • Cancer de rect. Stadializare
    • Cancer de rect. Urmarire si restadialilzare
    • Cancer esofagian . Stadializare
    • Cancer esofagian. Diagnostic
    • Cancer gastric. Diagnostic
    • Cancer gastric. Stadializare
    • Cancer laringian si al hipofaringelui. Bilanțul extensiei locale
    • Cancer laringian si al hipofaringelui. Stadializare
    • Cancer laringian si al hipofaringelui. Supravegherea cancerelor tratate
    • Cancer ovarian. Diagnostic
    • Cancer ovarian. Monitorizare
    • Cancer ovarian. Stadializare
    • Cancer pancreatic. Detectare
    • Cancer pancreatic. Stadializare
    • Cancer prostatic. Diagnostic
    • Cancer prostatic. Stadializare
    • Cancer testicular. Diagnostic
    • Cancer testicular. Monitorizare
    • Cancer testicular. Stadializare
    • Cancer tiroidian. Diagnostic
    • Cancer tiroidian. Stadializare
    • Cancer tiroidian. Supravegherea cancerelor tratate
    • Cancer vezical. Diagnostic
    • Cancer vezical. Stadializare
    • Cancerul de căi aero-digestive superioare (cavitate bucală, orofaringe). Stadializare
    • Cancerul de căi aero-digestive superioare (cavitate bucală, orofaringe). Supravegherea cancerelor tratate
    • Cancerul nazofaringian. Diagnostic
    • Cancerul nazofaringian. Stadializare
    • Cancerul nazofaringian. Supraveghere
    • Cancerul parotidian. Diagnostic
    • Cancerul parotidian. Stadializare
    • Cancerul renal. Diagnostic
    • Cancerul renal. Monitorizare
    • Cancerul renal. Stadializare
    • Cancerul renal. Suspiciune carcinom cu celule renale
    • Cancerul renal. Tumoră renală
    • Carcinom hepato-celular
    • Cholangiocarcinom și cancer al colecistului
    • Colangiocarcinom si cancerul veziculei biliare – Diagnostic
    • Colangiocarcinom si cancerul veziculei biliare. Detectare
    • Hepatocarciom
    • Limfom. Biopsie de masă mediastinală
    • Limfom. Diagnostic
    • Limfom. Monitorizare
    • Limfom. Stadializare
    • Melanom malign. Monitorizare
    • Melanom malign. Stadializare
    • Metastaze cu tumora primară necunoscută. Diagnostic
    • Recidive
    • Tumori ale aparatului locomotor
    • Tumori ale aparatului locomotor. Diagnostic
    • Tumori ale aparatului locomotor. Formatiuni tumorale lipomatoase suspecte
    • Tumori ale aparatului locomotor. Stadializare
    • Tumori cerebrale si medulare. Stadializare, planificare operatorie
    • Tumori cerebrale si medulare. Urmarire
    • Tumori maligne primare hepatice. Detectare
    • Tumori maligne primare hepatice. Stadializare
    • Tumori maligne secundare hepatice. Detectare
  • Cap ( Neuro si ORL)
    • Accident vascular cerebral constituit (AVC)
    • Accident vascular cerebral constituit (AVC) – evaluare parenchim
    • Accident vascular cerebral constituit (AVC) – vascularizație extracraniană
    • Accident vascular cerebral constituit (AVC)- vasculariazație intracraniană
    • Accident vascular cerebral tranzitor (AVCT) – evaluarea parenchimului
    • Accident vascular cerebral tranzitor (AVCT) – trunchiuri supraaortice
    • Afectarea bazei craniului şi nervilor cranieni (cu excepţia nervilor optici 23A şi a nervilor acustici 13A şi 14A)
    • Anevrism cerebral
    • Anevrism intracranian rupt
    • AVC ischemic acut
    • Cefalee acute brutale
    • Cefalee cronice atipice (vezi si capitolul pediatrie)
    • Cefalee progresive neobişnuite
    • Colesteatom
    • Corp străin faringian sau esofagian înalt
    • Crize comiţiale (v. si capitolul Pediatrie)
    • Disfuncţii ale articulaţiei temporo-mandibulare
    • Epilepsie cronică farmaco- rezistentă
    • Fistula arterio-venoasa cerebrala
    • Hematom cranian subdural
    • Hemoragie acuta in sfera ORL
    • Hidrocefalie (v. si capitolul Pediatrie)
    • Hidrocefalie Funcţionarea cateterului de derivaţie (v. si capitolul Pediatrie)
    • Leziuni tumorale şi pseudotumorale ale foselor nazale şi sinusurilor
    • Malformatie arterio-venoasa cerebrala
    • Mase ale glandelor salivare
    • Mase cervicale ale adultului
    • Mişcări anormale
    • Obstrucţia fluxului salivar
    • Patologie neuroinfecţioasă
    • Probleme cognitive
    • Probleme psihiatrice
    • Procese expansive hipofizare şi paraselare
    • Scleroza în plăci şi alte leziuni ale substanţei albe
    • Simptomatologia urechii interne (vertij, acufene)
    • Simptomatologia urechii medii (apărută după patologii acute necomplicate)
    • Sindroame medulare
    • Sindromul izolat de gură uscată
    • Sinuzită acută
    • Sinuzită cronică
    • Stenoza arteriala intracraniana
    • Stenoza carotidiană asimptomatică (suflu) – tratament
    • Stenoza carotidiană asimptomatică (suflu) -diagnostic
    • Stenoza venoasa intracraniana
    • Surditatea neurosenzorială la adult
    • Traumatism orbită – prin obiecte neascuţite
    • Traumatism orbita prin perforare
    • Traumatisme ale stâncii temporalului
    • Traumatisme cranio-encefalice
    • Traumatismul în 1/3 centrală a feţei
    • Traumatismul mandibulei
    • Traumatismul nazal
    • Tromboza venoasa a sinusurilor vasculare cerebrale
    • Tulburări ale simţului olfactiv
    • Tulburări de vedere – scăderea acuității vizuale și afectarea campului vizual
    • Tumori cerebrale
    • Tumori hipervascularizate cerebrale
    • Tumori hipervascularizate din sfera ORL
    • Vasospasmul cerebral acut
  • Coloană vertebrală
    • Afecţiuni congenitale -vezi capitolul Pediatrie
    • Bilant fractura vertebrala spontana
    • Cervicalgie
    • Cervicalgii comune
    • Dorsalgia comuna
    • Durere lombară cronică fără semne de infecţie sau tumoră: lombalgie comună
    • Lombalgie acuta: Lombo -radiculalgie mecanica
    • Lombalgie cronica fara semne de infectie sau tumora
    • Lombalgie in context particular sau insotita de semne de gravitate: debut <20 ani sau >55ani, sindrom de coada de cal, deficit senzitiv sau motor al membrelor inferioare, antecedente neoplazice, HIV, consum de droguri, corticoterapice sau antiinflamatorii
    • Malformatie arterio-venoasa spinala
    • Nevralgie cervico-brahială
    • Posibilitate de subluxaţie atlanto-axoidiană
    • Rahialgie / Radiculalgie
    • Sacro-ileita
    • Sindrom medular (în afara traumatismelor coloanei vertebrale)
    • Suspiciune de spondilodiscită infecţioasă
    • Tasare vertebrală malignă dureroasă
    • Tasare vertebrală osteoporotică dureroasă
    • Toracalgie
    • Tumori hipervascularizate spinale
  • Gât (părţi moi)
    • Anomalii cutanate sau hipetricoza de linie mediană posterioară
    • Guşă plonjantă – diagnostic
    • Guşă plonjantă – preterapeutic
    • Hiperparatiroidie
    • Hipertiroidie
    • Hipotiroidie la adult (pentru copil a se vedea si capitolul Pediatrie)
    • Masă cervicală cu punct de plecare necunoscut
    • Nodul tiroidian palpabil şi guşă eutiroidiană (concentraţie normală de TSH) – fază diagnostică. În caz de disfuncție a se vedea Hipertiroidia sau Hipotiroidia!
    • Suflu carotidian asimptomatic
    • Supravegherea pe termen lung a nodulilor tiroidieni de peste 10 mm şi a guşilor
  • Obstetrică şi ginecologie
    • Avorturi spontane multiple
    • Dureri pelvine, în special suspiciune de inflamaţie pelvină şi de endometrioză
    • Ecografie de control in timpul sarcinii
    • Ecografie de control în timpul sarcinii – Evaluare a restrictiei de crestere fetala
    • Infertilitate feminină
    • Infertilitate masculină
    • Metroragii postmenopauzale: excluderea unei patologii semnificative
    • Pierdere de dispozitive intrauterine
    • Posibilitate de sarcină non-viabilă
    • Suspiciune de disproporţie cefalo-pelvină şi/sau de prezentaţie podală
    • Suspiciune de masă pelvină
    • Suspiciune de sarcină extrauterină
    • Suspiciune de sarcină la o femeie asimptomatică
  • Pediatrie
    • Absența scaunului la nou-născut -lipsa eliminării meconiului
    • Absența scaunului la nou-născut -malformație anorectală
    • Adenopatii cervicale
    • Apendicită
    • Aspect anormal al craniului Anomalii de perimetru cranian
    • Boala Osgood- Schlatter
    • Boli congenitale (cerebrale şi spinale)
    • Cefalee
    • Constipaţie
    • Convulsii febrile sau de alte cauze cunoscute
    • Criptorhidie
    • Dilataţie de căi urinare (depistare întâmplătoare)
    • Dilataţie pielică neonatală
    • Displazia congenitală de șold
    • Dispnee expiratorie, Astm
    • Durere abdominală cu examen clinic normal
    • Durere osoasă focalizată
    • Durere paroxistică. Invaginaţie intestinală acută
    • Durere vertebrală
    • Enurezis
    • Epilepsie
    • Evaluarea funcţiei renale
    • Hidrocefalie Disfuncţie de şunt (v. și capitolul Cap – subcapitolul Neuro)
    • Hipotiroidie congenitală
    • Icter neonatal colestatic persistent timp de 1 lună
    • Infecţie respiratorie acută joasă (febrila)
    • Infecţie urinară dovedită
    • Ingestie sau inhalație de corp străin, la copil
    • Inhalare de corp străin (suspiciune)
    • Masă abdominală sau pelvină palpabilă
    • Melenă
    • Pierderi urinare permanente diurne şi nocturne
    • Pleurezie
    • Rectoragie (semnificativa și de cauză neevidentă)
    • Reflux vezico- ureteral (RVU)
    • Retard mental Infirmitate motrică cerebrală
    • Rinofaringite recidivante, Congestie nazală
    • Scolioză
    • Scrot tumefiat / dureros
    • Sinuzită
    • Şold dureros Defect de mers
    • Spina bifida ocultă L5 sau S1
    • Stridor acut
    • Suflu cardiac
    • Surditate infantilă
    • Talie mică, întârziere de creştere
    • Torticolis la nou-născut
    • Torticolis netraumatic
    • Traumatism abdominal minor (a se vedea și Traumatism major – capitolul Traumatisme)
    • Traumatism cranio-cerebral la copil (pentru traumatisme non-accidentale / maltratare -vezi subcapitolul Pediatrie-Apatrat locomotor: Traumatism nonaccidental)
    • Traumatism nonaccidental – Maltratare
    • Traumatism unilateral de membru – comparativ cu membrul controlateral la copil
    • Tumori -vezi Capitolul-Subcapitolul: Cancer-Tumori cerebrale si medulare
    • Tuse cronică
    • Vărsături acute la copil
    • Vărsături cronice/recurente fără cauză evidentă
    • Vărsături în jet agravate, în primele trei luni
    • Vărsături în jet la nou-născut
  • Radiologie intervențională
    • Abces pelvin
    • Abces subfrenic
    • Accident vascular cerebral constituit (AVC)
    • Adenomioza uterina
    • Adenopatie axilară suspectă
    • Afectarea bazei craniului şi nervilor cranieni (cu excepţia nervilor optici 23A şi a nervilor acustici 13A şi 14A)
    • Afecţiune sinovială de natură nedeterminată (artic. mari)
    • Anevrism aortă abdominală
    • Anevrism aortă toracală
    • Anevrism cerebral
    • Anevrism intracranian rupt
    • Anomaliile de placentatie
    • Arteriopatii periferice simptomatice (arteriopatiile asimptomatice nu necesită evaluare imagistică!)
    • Ascită prin hipertensiune portală
    • AVC ischemic acut
    • Avorturi spontane multiple
    • Boala coronariană cronică și evaluare post IMA
    • Cancer pancreatic
    • Caracterizarea unei leziuni hepatice descoperita accidental in examenul ecografic standard
    • Carcinom hepato-celular
    • Cefalee acute brutale
    • Cholangiocarcinom și cancer al colecistului
    • Colecistită acută
    • Diagnostic de nodul sau masă pulmonară
    • Disecție aortică – Tratamentul sdr. de malperfuzie
    • Disfuncţii ale articulaţiei temporo-mandibulare
    • Dureri articulare sau periarticulare (artic. mari)
    • Embolie pulmonară
    • Fistula arterio-venoasa cerebrala
    • Fistula de hemodializă
    • Fistulele arterio-venoase pelvine
    • Formațiune de părți moi, cervicală, cu punct de plecare necunoscut
    • Formațiune hepatică
    • Formațiune mediastinală
    • Formatiune tumorala de parti moi – bilant diagnostic
    • Formatiune tumorala osoasa primitiva – bilant diagnostic
    • Formatiuni tumorale lipomatoase suspecte de părți moi
    • Hematom cranian subdural
    • Hemoptizie
    • Hemoragie acuta in sfera ORL
    • Hemoragie digestivă gravă din varice esofagiene
    • Hemoragie digestivă înaltă cronică
    • Hemoragie digestivă înaltă gravă, fără cauză evidentă
    • Hemoragie digestivă inferioară gravă
    • Hemoragii acute in sfera genitala
    • Hemoragii cronice in sfera genitala
    • Hemoroizii
    • Hepatocarciom
    • Hepatopatie cronica difuza
    • Hiperaldosteronismului primar (sdr. Conn)
    • Hiperplazie benigna de prostata
    • Hipertensiune arterială asociată cu o stenoză ateromatoasă
    • Hipertensiune arterială consecutiv unei fibrodisplazii de arteră renală
    • Hipertiroidie
    • Hipotiroidie la adult (pentru copil a se vedea si capitolul Pediatrie)
    • Icter
    • Infertilitate feminină
    • Infiltrat pulmonar focal persistent, de etiologie neprecizata
    • Insuficiența cardiacă
    • Insuficienţă renală consecutiv unei stenoze ateromatoase
    • Ischemie acută şi subacută a membrelor inferioare de cauză embolică
    • Ischemie cronică mezenterică
    • Ischemie de membru inf. (ocluzie iliacă)
    • Ischemie de membru inf. (stenoză iliacă)
    • Ischemie de membru inferior (ocluzia arterelor gambei)
    • Ischemie de membru inferior (ocluzie femurală)
    • Leiomiomul uterin
    • Leziune de părţi moi de natură nedeterminată
    • Leziune osoasă focală de natură nedeterminată
    • Leziuni nodulare pulmonare multiple
    • Leziuni pulmonare cu necroza centrala
    • Leziuni tumorale sau pseudotumorale de părţi moi
    • Leziuni vasculare pulmonare
    • Malformatie arterio-venoasa cerebrala
    • Malformaţie arterio-venoasă pulmonară
    • Malformatie arterio-venoasa spinala
    • Malformații vasculare
    • Malformatiile arterio-venoase pelvine
    • Metroragii postmenopauzale / Menometroragii
    • Nefropatie de etiologie neprecizata
    • Neoplasm bronhopulmonar – diagnostic – suspiciune clinică
    • Neoplasm mamar
    • Nodul pulmonar, aflat in contact cu peretele toracic
    • Nodul tiroidian palpabil şi guşă eutiroidiană (concentraţie normală de TSH) – fază diagnostică. În caz de disfuncție a se vedea Hipertiroidia sau Hipotiroidia!
    • Nutriţie enterală
    • Obstrucţie biliară înaltă
    • Obstrucţie biliară joasă
    • Obstrucţie de Venă cavă superioară
    • Obstrucţie urinară înaltă acută sau cronică
    • Ocluzie venoasa la pacienti cu fistula AV de dializa
    • Pancreatită acută
    • Pancreatită cronică
    • Patologie biliară (în particular litiazică)
    • Pericardită constrictivă
    • Polifibromatoza uterina
    • Politrauma (cu imobilizare prelungita)
    • Politraumatism: hemoragie gravă asociată unei fracturi de bazin
    • Rahialgie / Radiculalgie
    • Sângerare gastro-intestinală acută
    • Sangerare gastro-intestinală ocultă -bilanţ
    • Sarcina ectopica
    • Sindrom aortic acut
    • Sindrom coronarian acut
    • Sindrom dureros post protezare
    • Stenoza artera vertebrala simptomatica
    • Stenoza arteriala intracraniana
    • Stenoza carotidiana asimptomatica
    • Stenoză carotidiană simptomatică
    • Stenoza venoasa intracraniana
    • Stenoza venoasa la pacienti cu fistula AV de dializa
    • Stenoza/ocluzie artera subclavie asimptomatica
    • Stenoza/ocluzie artera subclavie simptomatica
    • Supravegherea pe termen lung a nodulilor tiroidieni de peste 10 mm şi a guşilor
    • Suspiciune carcinom cu celule renale
    • Suspiciune de cardiomiopatie aritmogenă de ventricul drept, aritmii
    • Suspiciune de fistulă biliară- antecedente chirurgicale recente
    • Suspiciune de spondilodiscită infecţioasă
    • Tasare vertebrală malignă dureroasă
    • Tasare vertebrală osteoporotică dureroasă
    • Tendinopatii calcifiante simptomatice a musculaturii rotatorii humerale
    • Traumatism abdominal cu hemoragie severă
    • Traumatism al aortei toracice
    • Traumatisme grave ale abdomenului cu hemoragie severa – traumatisme hepatice hemodinamic instabile
    • Traumatisme grave ale abdomenului cu hemoragie severa – traumatisme hepatice hemodinamic stabile
    • Traumatisme grave ale abdomenului cu hemoragie severa – traumatisme renale hemodinamic instabile
    • Traumatisme grave ale abdomenului cu hemoragie severa – traumatisme splenice hemodinamic instabile
    • Traumatisme grave ale abdomenului cu hemoragie severa – traumatisme splenice hemodinamic stabile
    • Traumatisme grave ale abdomenului cu hemoragie severa- traumatisme renale hemodinamic stabile
    • Tromboza venoasa a sinusurilor vasculare cerebrale
    • Tromboză venoasă pelvină
    • Tromboza venoasa profunda acuta
    • Tumoră hepatică ce necesită biopsie
    • Tumoră hepatică nerezecabilă
    • Tumora pancreasului exocrin
    • Tumora pulmonara
    • Tumoră renală
    • Tumori cerebrale și medulare – Stadializare, planificare operatorie
    • Tumori hipervascularizate cerebrale
    • Tumori hipervascularizate din sfera ORL
    • Tumori hipervascularizate spinale
    • Varicele periuterine
    • Varicocel
    • Vasospasmul cerebral acut
    • Viabilitate grefon renal
  • Sân
    • Adenopatie axilară suspectă
    • Depistare (Screening), femei cu risc crescut de a dezvolta cancer mamar, inclusiv cele cu antecedente heredocolaterale (AHC) şi cele cu radioterapie mediastinală anterioară
    • Depistare (Screening), femei peste 50 ani, la iniţiere sau sub tratament hormonal substitutiv (THS)
    • Depistare (Screening), femei sub 50 ani, la iniţiere sau sub tratament hormonal substitutiv (THS)
    • Depistare (Screening): femei cu vârste între 40-49 ani
    • Depistare (Screening): femei cu vârste între 50-70 ani
    • Depistare (Screening): femei cu vârste peste 70 ani
    • Depistare (Screening): femei cu vârste sub 40 ani
    • Diagnosticul cancerului de sân: nodul mamar, retracţie tegumentară, retracţie mamelonară, secreţie mamelonară unilaterală spontană sanguinolentă sau seroasă, suspiciune de mastită carcinomatoasă, suspiciune de boală Paget
    • Femei înaintea unei plastii pentru augmentare sau reducţie mamară
    • Inflamaţie mamară
    • Neoplasm mamar
    • Nodularitate mamară, durere, tensiune mamară, secreţie mamelonară bilaterală nespecifică sau retracţie mamelonară veche
    • Screening, femei cu augmentare mamară
    • Stadializare loco-regională a cancerului de sân
    • Stadializarea cancerului de sân: metastaze la distanţă
    • Suspiciune clinică de cancer la paciente cu augmentare (implante)
    • Urmărirea la distanţă a pacientelor cu cancer de sân (supraveghere)
    • Urmărirea locală a pacientelor cu cancer de sân operat conservator
    • Verificarea integrităţii unui implant mamar cu silicon
  • Torace
    • Aplazie medulară
    • Astmul adultului – bilanț inițial
    • Bronhopneumopatia cronică obstructivă – bilanț inițial
    • Bronhoree cronică
    • Bronsita acută
    • Contacţi de tuberculoză
    • Control medical înaintea angajării sau depistarea unei boli pulmonare profesionale
    • Diagnostic de nodul sau masă pulmonară
    • Durere toracică izolată fără cauze aparente
    • Embolie pulmonară
    • Epanşament pleural
    • Hemoptizie
    • HIV-SIDA
    • Infecţie a căilor aeriene superioare
    • Infiltrat focal persistent, de etiologie neprecizata
    • Leziuni nodulare pulmonare multiple
    • Leziuni pulmonare cu necroza centrala
    • Leziuni vasculare pulmonare
    • Maladii sistemice (conectivite, vasculite, sarcoidoză) – bilanț și supraveghere
    • Malformaţie arterio-venoasă pulmonară
    • Neoplasm bronhopulmonar – bilanț preterapeutic
    • Neoplasm bronhopulmonar – diagnostic – suspiciune clinică
    • Neoplasm bronhopulmonar – stadializare
    • Neoplasm bronhopulmonar – supraveghere
    • Nodul pulmonar
    • Nodul pulmonar solitar
    • Nodul pulmonar solitar urmărire
    • Pacienţi în unităţi de terapie intensivă, unităţi de hemodializă
    • Pneumoconioze
    • Pneumonia adultului: diagnostic
    • Pneumonia adultului: supraveghere
    • Pneumopatie infiltrativă difuză
    • Pneumotorax spontan
    • Preoperator
    • Supravegherea astmului
    • Supravegherea bronhopneumopatiei cronice obstructive (BPOC)
    • Terapie corticoidă sau imunosupresoare agresivă cu suspiciune de pneumopatie
    • Transplant de maduvă osoasă
    • Transplantul de organe
    • Tuse cronică neexplicată
  • Traumatisme
    • Cervicalgii posttraumatice
    • Cervicalgii posttraumatice cu bilanț inițial normal
    • Dureri toracale sau lombare posttraumatice cu deficit neurologic
    • Dureri toracale sau lombare posttraumatice fără deficit neurologic sau imposibilitate de evaluare a pacientului
    • Fractură de stres
    • Ingestie de corp străin, situat la nivel faringian sau esofagian înalt
    • Leziune facială centrală
    • Leziuni orbitare (suspiciune de corp străin)
    • Pacient conştient, cu leziune la nivelul capului şi/sau feţei
    • Pacient inconştient cu traumatism cranian
    • Politrauma (cu imobilizare prelungita)
    • Politraumatism
    • Politraumatism: hemoragie gravă asociată unei fracturi de bazin
    • Ruptură de uretră (traumatism)
    • Ruptura vezicală (traumatism)
    • Traumatism abdominal cu hemoragie severă
    • Traumatism abdominal grav cu hemoragie severă-traumatism hepatic-hemodinamic instabil-embolizare în urgență
    • Traumatism abdominal grav cu hemoragie severă-traumatism hepatic-hemodinamic stabil-embolizare în urgență
    • Traumatism abdominal grav cu hemoragie severă-traumatism renal-hemodinamic instabil-embolizare în urgență
    • Traumatism abdominal grav cu hemoragie severă-traumatism renal-hemodinamic stabil-embolizare în urgență
    • Traumatism abdominal grav cu hemoragie severă-traumatism splenic-hemodinamic instabil-embolizare în urgență
    • Traumatism abdominal grav cu hemoragie severă-traumatism splenic-hemodinamic stabil-embolizare în urgență
    • Traumatism abdominal major și/sau de bazin
    • Traumatism al aortei toracice
    • Traumatism al gleznei
    • Traumatism al piciorului
    • Traumatism al șoldului
    • Traumatism cervical benign
    • Traumatism cervical cu simptome algice, dar bilanţ radiografic normal; suspiciune de leziune ligamentară
    • Traumatism cervical sever cu afectare neurologică
    • Traumatism coloană toraco-lombară cu deficit neurologic
    • Traumatism costal
    • Traumatism cranio-encefalic (pentru copii -vezi capitolul Pediatrie)
    • Traumatism de cot
    • Traumatism de părţi moi cu suspiciune de corp străin (metal, sticlă, lemn pictat, ghimpe)
    • Traumatism de pumn
    • Traumatism de umăr
    • Traumatism izolat de bazin
    • Traumatism mandibular
    • Traumatism minor coloană toraco-lombară
    • Traumatism nazal
    • Traumatism orbitar: leziune penetrantă
    • Traumatism orbitar: leziune produsă de un corp contondent
    • Traumatism renal-diagnostic
    • Traumatism scrotal
    • Traumatism sever coloană toraco-lombară fără deficit neurologic
    • Traumatism stâncă temporală
    • Traumatism toracic major
    • Traumatism toracic minor cu durere toracică persistentă
    • Traumatism: absenţa durerii şi deficitului neurologic
    • Traumatisme grave ale abdomenului cu hemoragie severa – traumatisme hepatice hemodinamic instabile
    • Traumatisme grave ale abdomenului cu hemoragie severa – traumatisme hepatice hemodinamic stabile
    • Traumatisme grave ale abdomenului cu hemoragie severa – traumatisme renale hemodinamic instabile
    • Traumatisme grave ale abdomenului cu hemoragie severa – traumatisme splenice hemodinamic instabile
    • Traumatisme grave ale abdomenului cu hemoragie severa – traumatisme splenice hemodinamic stabile
    • Traumatisme grave ale abdomenului cu hemoragie severa- traumatisme renale hemodinamic stabile
  • Ghid de utilizare a substantelor de contrast
  • Legenda abrevieri
  • Sugestii
  • Politica de confidentialitate
  • Cookies
  • Contact
Detalii cookies
Pentru a oferi cea mai bună experiență, folosim tehnologii, cum ar fi cookie-uri, pentru a stoca și/sau accesa informațiile despre dispozitive. Consimțământul pentru aceste tehnologii ne permite să procesăm date, cum ar fi comportamentul de navigare sau ID-uri unice pe acest site. Dacă nu îți dai consimțământul sau îți retragi consimțământul dat poate avea afecte negative asupra unor anumite funcționalități și funcții.
Functional Always active
The technical storage or access is strictly necessary for the legitimate purpose of enabling the use of a specific service explicitly requested by the subscriber or user, or for the sole purpose of carrying out the transmission of a communication over an electronic communications network.
Preferences
The technical storage or access is necessary for the legitimate purpose of storing preferences that are not requested by the subscriber or user.
Statistics
The technical storage or access that is used exclusively for statistical purposes. The technical storage or access that is used exclusively for anonymous statistical purposes. Without a subpoena, voluntary compliance on the part of your Internet Service Provider, or additional records from a third party, information stored or retrieved for this purpose alone cannot usually be used to identify you.
Marketing
The technical storage or access is required to create user profiles to send advertising, or to track the user on a website or across several websites for similar marketing purposes.
  • Manage options
  • Manage services
  • Manage {vendor_count} vendors
  • Read more about these purposes
Vezi preferințele
  • {title}
  • {title}
  • {title}
Ghid radiologie
  • Ghid de utilizare a substantelor de contrast
  • Cazuri
  • Legenda abrevieri
  • Sugestii
  • Contact