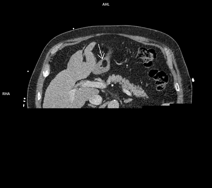
Figura 1: axial CT postcontrast timp venos

Figura 2: sagital CT postcontrast timp venos

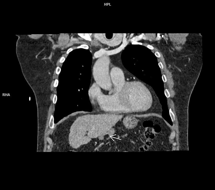
Figura 3: coronal CT postcontrast timp venos

Video 1: axial CT postcontrast timp venos
Video 2: sagital CT postcontrast timp venos
Video 3: coronal CT postcontrast timp venos
Discuţie caz nr 89: lipomul de perete gastric este o tumoră benignă rară de origine mezenchimală ce este, de obicei, descoperire întâmplătoare sub formă unei arii circumscrise cu densități grăsoase ce sunt asimptomatice cand au dimensiuni mici. Sunt de obicei formate din celule grăsoase mature înconjurate de capsulă. Ca și în cazul nostru, sunt întâlnite mai frecvent în antrul gastric. Sunt diagnosticate prin CT deoarece au densități cuprinse între -70 și -120UH .
Indicația de examinare în ghidradiologie.ro – fiind descoperire întâmplătoare, nu are indicație de examinare.
DE LUAT ACASĂ!!! Lipoamele gastrice sunt cel mai bine diagnosticate prin CT. Septurile fine ale țesuturilor moi probabil indică ulcerații sau modificări post-biopsie; liposarcomul gastric este extrem de rar. IRM-ul poate fi utilizat la copii sau la pacienții radiosensibili; tehnicile CT cu doze mici sunt de asemenea suficiente pentru diagnostic. Lipoamele mai mici de 3 cm sunt asimptomatice. Lipoamele simptomatice mai mari pot fi rezecate endoscopic dacă baza lor este mai mică de 2 cm; rezecția leziunilor cu baze mai largi a fost în mod tradițional retrogradată la rezecția chirurgicală, deși tehnici endoscopice mai noi s-au dovedit eficiente.
NB Următoarele trei precizări vor fi listate după fiecare caz, cu scop de popularizare a științei.
- Pacienții care au tratament cu METFORMIN și au indicație de efectuare a unei examinări cu substanța de contrast iodată NU trebuie să întrerupă tratamentul dacă au GFR mai mare de 30 ml / minut. https://ghidradiologie.ro/ghid-de-utilizare-a-substantelor-de-contrast/
- Reacțiile alergice la substanța de contrast pe bază de iod nu sunt de tip anafilactic; singura metodă de prevenție a unei reacții alergice reprezintă evitarea alergenului, de aceea orice injectare de substanță de contrast trebuie motivată și validată de radiolog, după analiza raportului risc / beneficiu. Testarea la pacienții care nu au mai primit substanță de contrast nu este indicată sau concludentă (neputând prevedea apariția unei reacții ulterioare), fiind chiar contraindicată (putând genera ea însăși o reacție). Dacă pacientul a avut o reacție imediată după administrarea substanței de contrast se recomandă o analiză alergologică. https://ghidradiologie.ro/ghid-de-utilizare-a-substantelor-de-contrast/
- Administrarea substanței de contrast pentru o examinare imagistică precum și justificarea iradierii pacienților SUNT ATRIBUTUL MEDICULUI RADIOLOG.
Bibliografie:
- Kumar S, Harisankar AG, Singh R, Kumar A, Kumar B, Mandal M. Lipoma of the gastrointestinal tract: a tertiary care centre experience. Ann R Coll Surg Engl. 2024 May;106(5):401-406. doi: 10.1308/rcsann.2023.0063. Epub 2023 Oct 12. PMID: 37823391; PMCID: PMC11060862.
- Sullivan IW, Hota P, Dass C. Gastric lipomas: a case series and review of a rare tumor. BJR Case Rep. 2019 Jan 16;5(2):20180109. doi: 10.1259/bjrcr.20180109. PMID: 31501708; PMCID: PMC6726183.