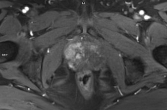
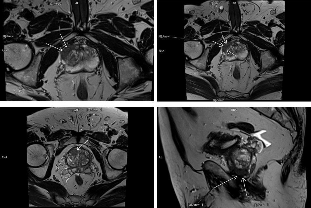
Figura 1: T2 axial si sagital

Figura 2: axial difuzie

Figura 3: axial T1 postcontrast

Video 1: axial T2
Video 2: coronal T2
Video 3: difuzie b2000 şi ADC
Video 4: postcontrast precoce
Discuţie caz nr 80: Pacientul cu suspiciune biochimică de neoplasm prostatic PSA 9.3 ng/ml efectuează examinare IRM multiparametrică și se pune în evidență anterior, la nivelul zonei prostatice superficiale drepte, cu dezvoltare în treimea inferioară şi treimea medie, o leziune de 1.9 cm în hiposemnal T1 cu restricție de difuzie a apei și priză de contrast în timp precoce; dacă acest pacient nu efectua această examinare și medicul urolog făcea puncție biopsie prostatică „în orb” foarte probabil nu se ajungea la diagnostic datorită poziționării anterioare a leziunii.
IRM multiparametric al prostatei este evaluarea inițială a bărbaților fără biopsie cu suspiciune clinică de cancer de prostată. Clasificarea PI-RADS este un sistem pentru raportarea IRM de prostată care își propune să standardizeze tehnica și interpretarea între centre. Leziunile PI-RADS 4 si 5 ridică o suspiciune clinică mare de cancer de prostată şi permite țintirea exactă a locului de punctie-biopsie pentru diagnostic.
Indicația de examinare în ghidradiologie.ro https://ghidradiologie.ro/cancer/cancer-prostatic-stadializare/
DE LUAT ACASĂ!!! Examinarea IRM multiparametrică de prostată ajută medicul urolog la diagnostic prin indicarea leziunilor la nivelul cărora să facă biopsie țintită. Examinarea la aparate cu magnet 3 Tesla este mai sensibilă și se recomandă că examinarea să conțină și achiziție 3D ponderată T2 cară să permită localizarea leziunii in timpul puncției.
NB Următoarele trei precizări vor fi listate după fiecare caz, cu scop de popularizare a științei.
- Pacienții care au tratament cu METFORMIN și au indicație de efectuare a unei examinări cu substanța de contrast iodată NU trebuie să întrerupă tratamentul dacă au GFR mai mare de 30 ml / minut. https://ghidradiologie.ro/ghid-de-utilizare-a-substantelor-de-contrast/
- Reacțiile alergice la substanța de contrast pe bază de iod nu sunt de tip anafilactic; singura metodă de prevenție a unei reacții alergice reprezintă evitarea alergenului, de aceea orice injectare de substanță de contrast trebuie motivată și validată de radiolog, după analiza raportului risc / beneficiu. Testarea la pacienții care nu au mai primit substanță de contrast nu este indicată sau concludentă (neputând prevedea apariția unei reacții ulterioare), fiind chiar contraindicată (putând genera ea însăși o reacție). Dacă pacientul a avut o reacție imediată după administrarea substanței de contrast se recomandă o analiză alergologică. https://ghidradiologie.ro/ghid-de-utilizare-a-substantelor-de-contrast/
- Administrarea substanței de contrast pentru o examinare imagistică precum și justificarea iradierii pacienților SUNT ATRIBUTUL MEDICULUI RADIOLOG.
Bibliografie:
- Turkbey B, Purysko AS. PI-RADS: Where Next? Radiology. 2023 Jun;307(5):e223128. doi: 10.1148/radiol.223128. Epub 2023 Apr 25. PMID: 37097134; PMCID: PMC10315529.
- O’Shea A, Harisinghani M. PI-RADS: multiparametric MRI in prostate cancer. MAGMA. 2022 Aug;35(4):523-532. doi: 10.1007/s10334-022-01019-1. Epub 2022 May 21. PMID: 35596009.