Figura 1: imagini în plan coronal și axial în ponderatie T2 din achiziție IRM abominală superioară cu substanță de contrast

Figura 2: imagini în plan coronal 2 și axial T1 din achiziție IRM abominala superioară cu substanță de contrast

Figura 3: imagini din achiziție de difuzie în plan axial cu b800 si ADC

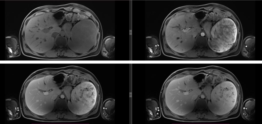
Figura 4: imagini în plan axial în ponderatie T1 pre si postcontrast dinamic

Figura 5: imagini în plan coronal T2 și coronal T1 pre si postcontrast în ponderatie T2 din achiziție IRM abominală superioară cu substanță de contrast

Discuţie caz nr 43: SANT este o leziune vasculară benignă morfologic distinctă. Deși termenul a fost inventat pentru prima dată în 2004, leziuni similare au fost descrise mai devreme ca hemangiom de cordon capilar, hemangiom multinodular și hemangioendoteliom splenic. Patogenia rămâne neclară; cu toate acestea, pe baza caracteristicilor histopatologice, se crede că reflectă pulpa roșie alterată prinsă de o proliferare stromală exagerată din cauza inflamației, hemoragiei sau leziunii traumatice. Descoperit în principal întâmplător la pacienții asimptomatici, SANT a fost raportat concomitent cu alte tumori maligne, deși majoritatea consideră că acest lucru este o coincidență în timpul imagisticii de supraveghere de rutină. Pacienții pot prezenta rareori anemie, splenomegalie sau dureri abdominale.
Descrierea este dintr-un articol citat la Bibliografie – articol cu acces liber, super descriptiv în caracterizarea leziunilor splenice.
Indicația de examinare în ghidradiologie.ro https://ghidradiologie.ro/traumatisme/traumatisme-grave-ale-abdomenului-cu-hemoragie-severa-traumatisme-splenice-hemodinamic-instabile/
DE LUAT ACASĂ!!! Leziunile splenice pot fi caracterizate prin examinare ecografică, CT și IRM, nefiind leziuni ce pot fi puncționate.
NB Următoarele trei precizări vor fi listate după fiecare caz, cu scop de popularizare a științei.
1. Pacienții care au tratament cu METFORMIN și au indicație de efectuare a unei examinări cu substanța de contrast iodată NU trebuie să întrerupă tratamentul dacă au GFR mai mare de 30 ml / minut. https://ghidradiologie.ro/ghid-de-utilizare-a-substantelor-de-contrast/
2. Reacțiile alergice la substanța de contrast pe bază de iod nu sunt de tip anafilactic; singura metodă de prevenție a unei reacții alergice reprezintă evitarea alergenului, de aceea orice injectare de substanță de contrast trebuie motivată și validată de radiolog, după analiza raportului risc / beneficiu. Testarea la pacienții care nu au mai primit substanță de contrast nu este indicată sau concludentă (neputând prevedea apariția unei reacții ulterioare), fiind chiar contraindicată (putând genera ea însăși o reacție). Dacă pacientul a avut o reacție imediată după administrarea substanței de contrast se recomandă o analiză alergologică. https://ghidradiologie.ro/ghid-de-utilizare-a-substantelor-de-contrast/
3. Administrarea substanței de contrast pentru o examinare imagistică precum și justificarea iradierii pacienților SUNT ATRIBUTUL MEDICULUI RADIOLOG.
Bibliografie:
1. Kim N, Auerbach A, Manning MA. Algorithmic Approach to the Splenic Lesion Based on Radiologic-Pathologic Correlation. Radiographics. 2022 May-Jun;42(3):683-701. doi: 10.1148/rg.210071. Epub 2022 Mar 18. PMID: 35302864.