Video 1: reconstrucție axială din achiziție CT pumn
Video 2: reconstrucție sagitală din achiziție CT pumn sag
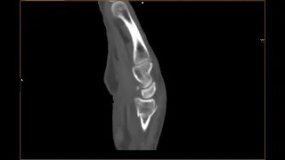
Video 3: reconstrucție coronală din achiziție CT pumn cor
Video 4: reconstrucție volumică VRT din achiziție CT pumn
Discuţie caz nr 42: fracturile sunt diagnosticate clinic iar prin examinări radiografice și prin tomografie computerizată (CT) se pun în evidență: tipul de fractură, modificările de ax, prezența unor eventuale fragmente. Achiziția CT cu reconstrucție de volum este utilă în planificarea tratamentului ortopedic.
Radiografiile în incidențe de față și profil sunt suficiente dacă fractura este evidentă clinic. În caz de dubiu este necesară efectuarea incidențelor speciale (scafoid, pisiform, etc). Ecografia este utilă în depistarea fracturilor oculte prin evidențierea unei colecții intra-articulare.
Dacă se suspicionează o fractură de scafoid este necesară efectuarea a 4 incidențe seriate. Dacă în urma examenului clinic amănunțit și a radiografiei diagnosticul este neconcludent, IRM este acurat și cost-eficient. CT și scintigrafia osoasă pot reprezenta examinări alternative.
CT – Examen de elecție pentru bilanțul fracturilor. Performant în diagnosticul fracturilor oculte
Indicația de examinare în ghidradiologie.ro https://ghidradiologie.ro/traumatisme/traumatism-de-pumn/
DE LUAT ACASĂ!!! Calciul este optim pus în evidență prin radiografie și tomografie computerizată. Dacă în urma examenului clinic amănunțit și a radiografiei diagnosticul este neconcludent, IRM este acurat și cost-eficient. CT și scintigrafia osoasă pot reprezenta examinări alternative.
NB Următoarele trei precizări vor fi listate după fiecare caz, cu scop de popularizare a științei.
- Pacienții care au tratament cu METFORMIN și au indicație de efectuare a unei examinări cu substanța de contrast iodată NU trebuie să întrerupă tratamentul dacă au GFR mai mare de 30 ml / minut. https://ghidradiologie.ro/ghid-de-utilizare-a-substantelor-de-contrast/
- Reacțiile alergice la substanța de contrast pe bază de iod nu sunt de tip anafilactic; singura metodă de prevenție a unei reacții alergice reprezintă evitarea alergenului, de aceea orice injectare de substanță de contrast trebuie motivată și validată de radiolog, după analiza raportului risc / beneficiu. Testarea la pacienții care nu au mai primit substanță de contrast nu este indicată sau concludentă (neputând prevedea apariția unei reacții ulterioare), fiind chiar contraindicată (putând genera ea însăși o reacție). Dacă pacientul a avut o reacție imediată după administrarea substanței de contrast se recomandă o analiză alergologică. https://ghidradiologie.ro/ghid-de-utilizare-a-substantelor-de-contrast/
- Administrarea substanței de contrast pentru o examinare imagistică precum și justificarea iradierii pacienților SUNT ATRIBUTUL MEDICULUI RADIOLOG.
Bibliografie:
Trimite informația mai departe