Figura 1: table scor de calciu

Figura 2: reconstrucție “în lungul vasului” artera descendentă anterioară din achiziția angiocoroCT

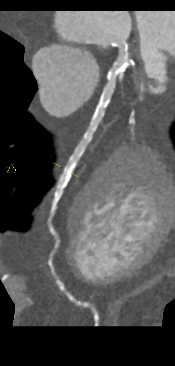
Figura 3: reconstrucție “în lungul vasului” artera circumflexă din achiziția angiocoroCT

Figura 4: reconstrucție “în lungul vasului” artera coronară dreaptă din achiziția angiocoroCT

Video 1: cine reconstrucție axială din achiziția pentru scor de calciu
Video 2: cine reconstrucție axială din achiziția angiocoroCT
Video 3: cine reconstrucție volumică din achiziția angiocoroCT
Discuţie caz nr 118: Examinarea angiocoronarografică prin tomografie computerizată are două părți importante: achiziția pentru scorul de calciu și achiziția coronarografică; de obicei achiziția pentru scorul de calciu se face înaintea administrării substanței de contrast și are rolul că pacientul să se familiarizeze cu comenzile respiratorii și pentru calcularea scorului de calciu care este factor de risc independent de boli cardio-vasculare (vezi tabelul din figura 1). Apoi este administrată substanță de contrast și se realizează achiziția angioCT pentru artere coronare cu sincronizare ECG. Prezența calciului la nivelul plăcilor coronariene face că razele X să fie oprite și astfel încât este dificilă aprecierea lumenului vascular, de aceea în cazul aparatelor de generație mai veche exista opinia că la un scor de calciu mare să nu se mai administreze substanță de contrast și pacientul să fie trimis la coronarografie invazivă. Prezentăm cazul unui pacient cu scor de calciu 6299 la care lumenul coronarian poate fi apreciat convenabil și nu se evidențiază stenoze coronariene semnificative.
Indicația de examinare în ghidradiologie.ro https://ghidradiologie.ro/aparat-cardiovascular/sindrom-coronarian-acut/
DE LUAT ACASĂ!!! Administrarea substanței de contrast pentru efectuarea angiocoronarografiei CT nu depinde de valoarea calculată a scorului de calciu.
NB Următoarele trei precizări vor fi listate după fiecare caz, cu scop de popularizare a științei.
- Pacienții care au tratament cu METFORMIN și au indicație de efectuare a unei examinări cu substanța de contrast iodată NU trebuie să întrerupă tratamentul dacă au GFR mai mare de 30 ml / minut. https://ghidradiologie.ro/ghid-de-utilizare-a-substantelor-de-contrast/
- Reacțiile alergice la substanța de contrast pe bază de iod nu sunt de tip anafilactic; singura metodă de prevenție a unei reacții alergice reprezintă evitarea alergenului, de aceea orice injectare de substanță de contrast trebuie motivată și validată de radiolog, după analiza raportului risc / beneficiu. Testarea la pacienții care nu au mai primit substanță de contrast nu este indicată sau concludentă (neputând prevedea apariția unei reacții ulterioare), fiind chiar contraindicată (putând genera ea însăși o reacție). Dacă pacientul a avut o reacție imediată după administrarea substanței de contrast se recomandă o analiză alergologică. https://ghidradiologie.ro/ghid-de-utilizare-a-substantelor-de-contrast/
- Administrarea substanței de contrast pentru o examinare imagistică precum și justificarea iradierii pacienților SUNT ATRIBUTUL MEDICULUI RADIOLOG.
Bibliografie:
- Bittencourt MS, Gualandro DM. Coronary CTA works for preoperative risk stratification, but do we know when and how to use it? Heart. 2019 Sep;105(17):1300-1301. doi: 10.1136/heartjnl-2019-315152. Epub 2019 Jun 1. PMID: 31154432.
- Kim JH, Baek SE, Kim YJ, Suh YJ. Coronary CTA for Acute Chest Pain in the Emergency Department: Comparison of 64-Detector-Row Single-Source and Third-Generation Dual-Source Scanners. AJR Am J Roentgenol. 2023 Jul;221(1):80-90. doi: 10.2214/AJR.22.28963. Epub 2023 Mar 1. PMID: 36856300.