Figura 1: reconstrucție axială din achiziție angioCT trunchiuri supraaortice

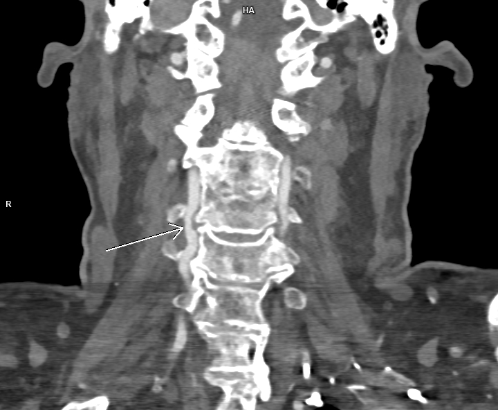
Figura 2: reconstrucție coronală din achiziție angioCT trunchiuri supraaortice

Figura 3: reconstrucție volumică VRT din achiziție angioCT trunchiuri supraaortice

Video 1: reconstrucție axială din achiziție angioCT trunchiuri supraaortice
Video 2: reconstrucție coronală din achiziție angioCT trunchiuri supraaortice
Discuţie caz nr 116: Pe imaginile prezentate se observă reducere de calibru de 60-70% a arterei vertebrale drepte datorată compresiei extrinseci de către o hernie de disc extraforaminală. Leziunile severe de artere vertebrale, mai ales la pacienții tineri care nu au dezvoltat colaterale, produc leziuni cerebrale de fosă posterioare și / sau ganglioni bazali. La acești pacienți se recomandă angioCT sau, unde este posibil și există expertiză, angioRM de trunchiuri supraaortice pentru suspiciune de disecție de perete vascular.
Indicația de examinare în ghidradiologie.ro https://ghidradiologie.ro/aparat-cardiovascular/arteriopatii-periferice-simptomatice/
DE LUAT ACASĂ!!! În cazul unei suspiciuni de disecție de perete vascular, examinarea IRM de trunchiuri supraaortice poate evidenția hematomul parietal prin secvențe specifice; examinarea angioCT evaluează în principal lumenul vascular şi poate preciza numai dacă peretele are grosime crescută fără a putea caracteriza tisular.
NB Următoarele trei precizări vor fi listate după fiecare caz, cu scop de popularizare a științei.
- Pacienții care au tratament cu METFORMIN și au indicație de efectuare a unei examinări cu substanța de contrast iodată NU trebuie să întrerupă tratamentul dacă au GFR mai mare de 30 ml / minut. https://ghidradiologie.ro/ghid-de-utilizare-a-substantelor-de-contrast/
- Reacțiile alergice la substanța de contrast pe bază de iod nu sunt de tip anafilactic; singura metodă de prevenție a unei reacții alergice reprezintă evitarea alergenului, de aceea orice injectare de substanță de contrast trebuie motivată și validată de radiolog, după analiza raportului risc / beneficiu. Testarea la pacienții care nu au mai primit substanță de contrast nu este indicată sau concludentă (neputând prevedea apariția unei reacții ulterioare), fiind chiar contraindicată (putând genera ea însăși o reacție). Dacă pacientul a avut o reacție imediată după administrarea substanței de contrast se recomandă o analiză alergologică. https://ghidradiologie.ro/ghid-de-utilizare-a-substantelor-de-contrast/
- Administrarea substanței de contrast pentru o examinare imagistică precum și justificarea iradierii pacienților SUNT ATRIBUTUL MEDICULUI RADIOLOG.
Bibliografie:
- Salerno A, Strambo D, Nannoni S, Dunet V, Michel P. Patterns of ischemic posterior circulation strokes: A clinical, anatomical, and radiological review. Int J Stroke. 2022 Aug;17(7):714-722. doi: 10.1177/17474930211046758. Epub 2021 Sep 28. PMID: 34581223; PMCID: PMC9358301.
- Czap AL, Sheth SA. Overview of Imaging Modalities in Stroke. Neurology. 2021 Nov 16;97(20 Suppl 2):S42-S51. doi: 10.1212/WNL.0000000000012794. PMID: 34785603; PMCID: PMC11418094.
- Simon LV, Nassar AK, Mohseni M. Vertebral Artery Injury. 2023 Jul 17. In: StatPearls [Internet]. Treasure Island (FL): StatPearls Publishing; 2025 Jan–. PMID: 29262106.