Video 1: reconstrucție cine în planul valvei aortice din achiziție cardioCT cu sincronizare ECG
Video 2: reconstrucție volumică (VRT) din achiziție cardioCT cu sincronizare ECG
Video 3: reconstrucție volumică (VRT) din achiziție cardioCT cu sincronizare ECG cu eliminarea structurilor osoase
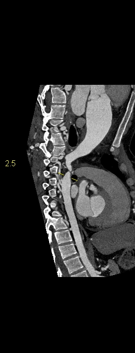
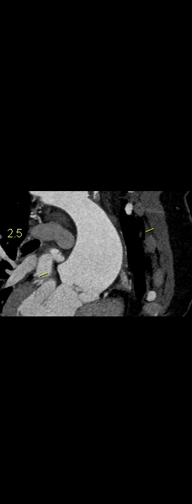
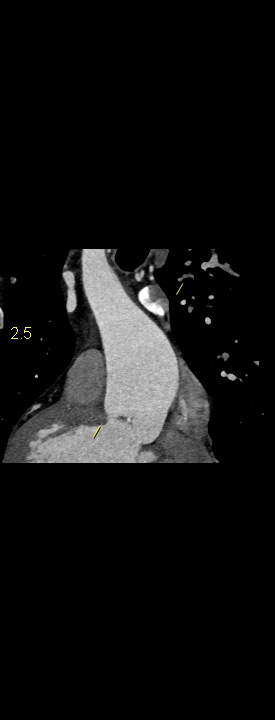
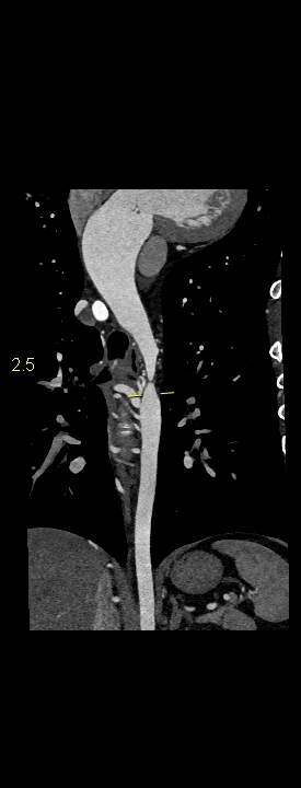
Figurile 1-5: reconstrucții multiplanare din achiziție angioCT aorta toracică
Figurile 6-10: reconstrucții volumice (VRT) din achiziție angioCT aorta toracică
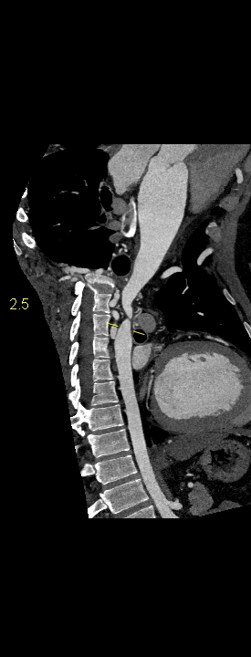
Discuţie caz nr 109: Pacient cu suspiciune de coarctaţie de aortă – are indicație de angioCT aortă toracică; medicul radiolog la acești pacienți este indicat să efectueze investigația cu sincronizare ECG deoarece coarctaţia de aortă poate fi asociată și cu bicuspidie de valvă aortică, mai ales că la acest pacient ecografia cardiacă descria creștere de calibru a aortei ascendențe. Pe reconstrucția cine în planul valvei aortice din achiziția cardioCT cu sincronizare ECG se remarcă o valvă aortică morfologic tricuspidă, funcțional bicuspidă ce asociază ectazie de aortă ascendentă și coarctaţie de aortă descendentă cvasicompletă cu dezvoltare de circulație colaterală intercostală și mamară internă.
Indicația de examinare în ghidradiologie.ro https://ghidradiologie.ro/aparat-cardiovascular/anevrism-aorta-toracala/
DE LUAT ACASĂ!!! Examinarea angioCT de aortă toracică este optim să fie efectuată cu sincronizare cu semnalul ECG pentru caracterizarea valvei aortice și a rădăcinii aortei precum și pentru evidențierea / excluderea unui eventual fald de disecție.
NB Următoarele trei precizări vor fi listate după fiecare caz, cu scop de popularizare a științei.
- Pacienții care au tratament cu METFORMIN și au indicație de efectuare a unei examinări cu substanța de contrast iodată NU trebuie să întrerupă tratamentul dacă au GFR mai mare de 30 ml / minut. https://ghidradiologie.ro/ghid-de-utilizare-a-substantelor-de-contrast/
- Reacțiile alergice la substanța de contrast pe bază de iod nu sunt de tip anafilactic; singura metodă de prevenție a unei reacții alergice reprezintă evitarea alergenului, de aceea orice injectare de substanță de contrast trebuie motivată și validată de radiolog, după analiza raportului risc / beneficiu. Testarea la pacienții care nu au mai primit substanță de contrast nu este indicată sau concludentă (neputând prevedea apariția unei reacții ulterioare), fiind chiar contraindicată (putând genera ea însăși o reacție). Dacă pacientul a avut o reacție imediată după administrarea substanței de contrast se recomandă o analiză alergologică. https://ghidradiologie.ro/ghid-de-utilizare-a-substantelor-de-contrast/
- Administrarea substanței de contrast pentru o examinare imagistică precum și justificarea iradierii pacienților SUNT ATRIBUTUL MEDICULUI RADIOLOG.
Bibliografie:
- He X, Dhuromsingh M, Liu W, Zhou Q, Zeng H. One-stop interventional procedure for bicuspid aortic stenosis in a patient with coexisting aortic coarctation: a case report. Front Cardiovasc Med. 2023 May 4;10:1162203. doi: 10.3389/fcvm.2023.1162203. PMID: 37215553; PMCID: PMC10192622.
- Xiao HJ, Zhan AL, Huang QW, Huang RG, Lin WH. Evaluation of the aorta in infants with simple or complex coarctation of the aorta using CT angiography. Front Cardiovasc Med. 2023 Jan 9;9:1034334. doi: 10.3389/fcvm.2022.1034334. PMID: 36698954; PMCID: PMC9868234.
- Cassar MP, Shabbir A, Orchard E, Stirrup J. Ascending aortic dissection in a pregnant patient with neonatally repaired coarctation of aorta and bicuspid aortic valve. BMJ Case Rep. 2019 Dec 29;12(12):e233367. doi: 10.1136/bcr-2019-233367. PMID: 31888910; PMCID: PMC6936418.








