Video 1: reconstrucție axială din achiziție CT abdomino-pelvină nativ și postcontrast arterial, venos și tardiv
Video 2: reconstrucție axială din achiziție CT abdomino-pelvină postcontrast tardiv
Video 3: reconstrucție sagitală din achiziție CT abdomino-pelvină postcontrast tardiv
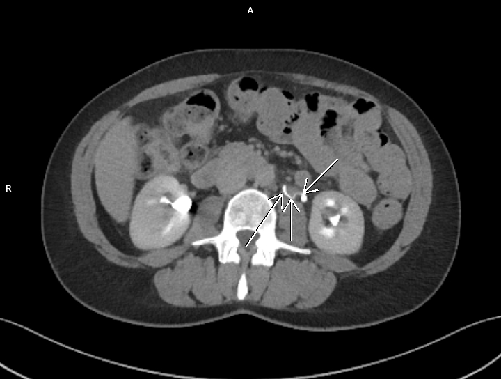
Figura 1: reconstrucție axială din achiziție CT abdomino-pelvină postcontrast tardiv

Discuţie caz nr 105: Diagnosticul diferențial al uretero-hidronefrozei include și compresia extrinsecă a ureterului de către vena ovariană stângă / vena cavă inferioară; pe examinarea tardivă postcontrast se evidențiază decalibrarea ureterului la trecerea posterior de vena ovariană stângă – datorită faptului că structurile venoase sunt ușor compresibile, această cauza secundară de uretero-hidronefroză este rară.
Indicația de examinare în ghidradiologie.ro https://ghidradiologie.ro/aparat-uro-genital-si-glande-suprarenale/sindrom-obstructiv-inalt/
DE LUAT ACASĂ!!! Examinarea CT cu achiziție tardivă de tip uroCT este indicată la pacienții cu sindrom obstructiv pentru aprecierea cauzelor obstrucției. Chiar și la pacienții cunoscuți cu litiaza reno-urinară examinarea trebuie efectuată cu substanța de contrast pentru evidențierea și caracterizarea obstacolului precum și pentru aprecierea efectului asupra căilor urinare: rinichi fără excreție, obstacol parțial obstructiv, ruptură de căi urinare etc. Una dintre anomaliile de formare a venei cave inferioare este și ureterul retrocav, variantă anomaliei prezentate aici.
NB Următoarele trei precizări vor fi listate după fiecare caz, cu scop de popularizare a științei.
- Pacienții care au tratament cu METFORMIN și au indicație de efectuare a unei examinări cu substanța de contrast iodată NU trebuie să întrerupă tratamentul dacă au GFR mai mare de 30 ml / minut. https://ghidradiologie.ro/ghid-de-utilizare-a-substantelor-de-contrast/
- Reacțiile alergice la substanța de contrast pe bază de iod nu sunt de tip anafilactic; singura metodă de prevenție a unei reacții alergice reprezintă evitarea alergenului, de aceea orice injectare de substanță de contrast trebuie motivată și validată de radiolog, după analiza raportului risc / beneficiu. Testarea la pacienții care nu au mai primit substanță de contrast nu este indicată sau concludentă (neputând prevedea apariția unei reacții ulterioare), fiind chiar contraindicată (putând genera ea însăși o reacție). Dacă pacientul a avut o reacție imediată după administrarea substanței de contrast se recomandă o analiză alergologică. https://ghidradiologie.ro/ghid-de-utilizare-a-substantelor-de-contrast/
- Administrarea substanței de contrast pentru o examinare imagistică precum și justificarea iradierii pacienților SUNT ATRIBUTUL MEDICULUI RADIOLOG.
Bibliografie:
- Becker J, Woźnicki P, Decker JA, Risch F, Wudy R, Kaufmann D, Canalini L, Wollny C, Scheurig-Muenkler C, Kroencke T, Bette S, Schwarz F. Radiomics signature for automatic hydronephrosis detection in unenhanced Low-Dose CT. Eur J Radiol. 2024 Oct;179:111677. doi: 10.1016/j.ejrad.2024.111677. Epub 2024 Aug 9. PMID: 39178684.
- Igbokwe MC, Ojah OAC, Kamba U, Adetunbi AR, Onyebuchi AN, Onwuansoanya UE. Diagnostic Dilemma and Surgical Management of Circumcaval Ureter: A Case Report. J West Afr Coll Surg. 2023 Oct-Dec;13(4):123-126. doi: 10.4103/jwas.jwas_73_23. Epub 2023 Sep 16. PMID: 38449549; PMCID: PMC10914114.