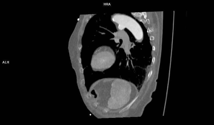
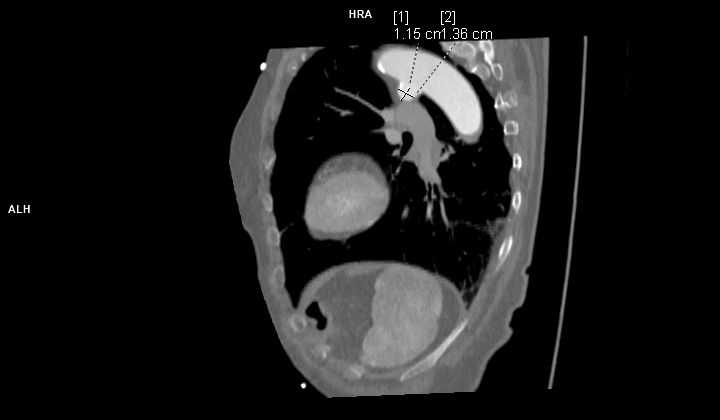
Figurile 1 si 2: reconstrucție multiplanară din achiziție angio în timp arterial – aorta toracică
Figurile 3, 4, 5 si 6: reconstrucție volumică din achiziție angio în timp arterial – aorta toracică
Video 1: cine reconstrucție volumică din achiziție angio în timp arterial – aorta toracică
Discuţie caz nr 102: Ductul arterial este o structura de by-pass între aorta descendentă și trunchiul de arteră pulmonară care funcționează în viață intrauterină deoarece plămânii nu sunt aerați; în mod normal se închide în primele zile după naștere. Imaginile prezentate arată că ductul arterial este închis însă se evidențiază creșterea calibrului unei reminiscențe a ductului arterial la deschiderea în aorta descendentă.
Indicația de examinare în ghidradiologie.ro https://ghidradiologie.ro/aparat-cardiovascular/anevrism-aorta-toracala/
DE LUAT ACASĂ!!! Inserția ductului arterial în aorta descendentă toracică este util să fie cunoscută deoarece dacă avem canal arterial permeabil acesta poate fi de dimensiuni mici și poate să nu cauzeze probleme semnificative rămânând nedetectat – practic descoperire întâmplătoare.
NB Următoarele trei precizări vor fi listate după fiecare caz, cu scop de popularizare a științei.
- Pacienții care au tratament cu METFORMIN și au indicație de efectuare a unei examinări cu substanța de contrast iodată NU trebuie să întrerupă tratamentul dacă au GFR mai mare de 30 ml / minut. https://ghidradiologie.ro/ghid-de-utilizare-a-substantelor-de-contrast/
- Reacțiile alergice la substanța de contrast pe bază de iod nu sunt de tip anafilactic; singura metodă de prevenție a unei reacții alergice reprezintă evitarea alergenului, de aceea orice injectare de substanță de contrast trebuie motivată și validată de radiolog, după analiza raportului risc / beneficiu. Testarea la pacienții care nu au mai primit substanță de contrast nu este indicată sau concludentă (neputând prevedea apariția unei reacții ulterioare), fiind chiar contraindicată (putând genera ea însăși o reacție). Dacă pacientul a avut o reacție imediată după administrarea substanței de contrast se recomandă o analiză alergologică. https://ghidradiologie.ro/ghid-de-utilizare-a-substantelor-de-contrast/
- Administrarea substanței de contrast pentru o examinare imagistică precum și justificarea iradierii pacienților SUNT ATRIBUTUL MEDICULUI RADIOLOG.
Bibliografie:
- Abu-Shaweesh JM, Almidani E. PDA: Does it matter? Int J Pediatr Adolesc Med. 2020 Mar;7(1):9-12. doi: 10.1016/j.ijpam.2019.12.001. Epub 2019 Dec 3. Erratum in: Int J Pediatr Adolesc Med. 2020 Dec;7(4):212. doi: 10.1016/j.ijpam.2020.09.004. PMID: 32373696; PMCID: PMC7193069.
- Moore JW. PDA Stenting for Ductal-Dependent Cyanotic Congenital Heart Disease: History and View From 10,000 Feet. Pediatr Cardiol. 2024 Nov 25. doi: 10.1007/s00246-024-03714-3. Epub ahead of print. PMID: 39586902.
- Krupiński M, Irzyk M, Moczulski Z, Banyś R, Kuniewicz M, Urbańczyk-Zawadzka M. Detailed radiological study of the patent ductus arteriosus: a computed tomography study in the Polish population. Folia Morphol (Warsz). 2020;79(3):462-468. doi: 10.5603/FM.a2019.0116. Epub 2019 Nov 5. PMID: 31688948.




