Video 1: axial MIP din achiziţie angioCT toracică
Video 2: sagital MIP din achiziţie angioCT toracică
Video 3: VRT din achiziţie angioCT toracică
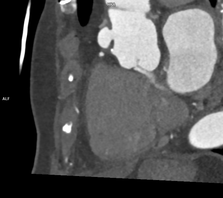
Figura 1: Reconstrucţie în planul aortei ascendente cu evidenţierea anevrismului format la inserţia inferioară a protezei de aortă ascendentă

Figura 2: Reconstrucţie în planul perpendicular / ortogonal pe anevrismul format la inserţia inferioară a protezei de aortă ascendentă cu evidenţierea a trei orificii de intrare

Figura 3: Reconstrucţie VRT din achiziţie angioCT toracică cu evidenţierea anevrismelor formate la inserţia inferioară şi superioară ale a protezei de aortă ascendentă

Discuţie caz nr 71:
Pacient cunoscut cu proteză de aorta ascendentă și proteză endoaortică pentru dilatație anevrismală a aortei ascendente și descendente toracice, efectuează examinare angioCT pentru control postoperator. Se evidențiază câte o dezvoltare anevrismală la inserțiile inferioară și superioară ale protezei de aortă ascendentă și proteză metalică endoaortică de aorta descendentă în poziție normală. Incidental se evidențiază un fald de disecție în segmentul proximal al arterei carotide comune stâng cu ambele lumene circulante.
Indicația de examinare în ghidradiologie.ro https://ghidradiologie.ro/aparat-cardiovascular/anevrism-aorta-toracala/
DE LUAT ACASĂ!!!
La un pacient cunoscut sau suspectat cu patologie de aortă toracică, efectuarea examinării se recomandă a se efectua cu sincronizare cu semnalul ECG – în lipsa acestei sincronizări pot fi ratate disecții incipiente de aorta ascendentă care sunt urgențe chirurgicale sau pot să fie supra diagnosticate artefactele de mișcare că și suspiciuni de disecție. Sau, cum ar formula unii dintre colegii noștri, nu se poate preciza dacă pacientul are disecție de aorta ascendentă datorită artefactelor – după această exprimare nu cred că un medic radiolog ar putea justifică iradierea acestor pacienți.
NB Următoarele trei precizări vor fi listate după fiecare caz, cu scop de popularizare a științei.
- Pacienții care au tratament cu METFORMIN și au indicație de efectuare a unei examinări cu substanța de contrast iodată NU trebuie să întrerupă tratamentul dacă au GFR mai mare de 30 ml / minut. https://ghidradiologie.ro/ghid-de-utilizare-a-substantelor-de-contrast/
- Reacțiile alergice la substanța de contrast pe bază de iod nu sunt de tip anafilactic; singura metodă de prevenție a unei reacții alergice reprezintă evitarea alergenului, de aceea orice injectare de substanță de contrast trebuie motivată și validată de radiolog, după analiza raportului risc / beneficiu. Testarea la pacienții care nu au mai primit substanță de contrast nu este indicată sau concludentă (neputând prevedea apariția unei reacții ulterioare), fiind chiar contraindicată (putând genera ea însăși o reacție). Dacă pacientul a avut o reacție imediată după administrarea substanței de contrast se recomandă o analiză alergologică. https://ghidradiologie.ro/ghid-de-utilizare-a-substantelor-de-contrast/
- Administrarea substanței de contrast pentru o examinare imagistică precum și justificarea iradierii pacienților SUNT ATRIBUTUL MEDICULUI RADIOLOG.
Bibliografie:
- Yates LC, Malik A, Quinn D, Mascaro J, Holloway B. Thoracic aortic aneurysm repair using the elephant trunk technique and associated complications. Clin Radiol. 2022 Nov;77(11):803-809. doi: 10.1016/j.crad.2022.07.009. Epub 2022 Aug 31. PMID: 36057463.
- Pua U, Tay KH, Tan BS, Htoo MM, Sebastian M, Sin K, Chua YL. CT appearance of complications related to thoracic endovascular aortic repair (TEVAR): a pictorial essay. Eur Radiol. 2009 May;19(5):1062-8. doi: 10.1007/s00330-008-1276-3. Epub 2009 Jan 14. PMID: 19142642.
Tse DM, Tapping CR, Patel R, Morgan R, Bratby MJ, Anthony S, Uberoi R. Surveillance after endovascular abdominal aortic aneurysm repair. Cardiovasc Intervent Radiol. 2014 Aug;37(4):875-88. doi: 10.1007/s00270-014-0916-z. Epub 2014 May 31. PMID: 24873921.
Trimite informația mai departe