Figura 1: achiziție T1 coronal leziune net delimitată, în contact cu corticala osoasă fără a o întrerupe, conținut lipomatos heterogen

Figura 2, 3: achiziție T1 sagital

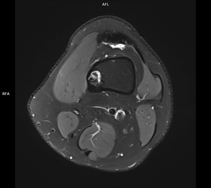
Figura 4: achiziție PD FS axial în plus față de achiziția T1 se evidențiază arii lichidiene în interiorul leziunii lipomatoase;

Figura 5, 6: achiziție PD FS coronal


Video 1: achiziție T1 sagital
Video 2: achiziție T1 coronal
Video 3: achiziție T1 PD FS
Video 4: achiziție difuzie osoasă b1000 și ADC
Discuţie caz nr 53: lipomul intraosos este o entitate benignă rară – între 0.1 și 2.5% din toate leziunile tumorale osoase. Sunt cele mai frecvente tumori de natură lipomatoasa ale osului iar etiologia și patogeneză nu sunt cunoscute. Sunt trei categorii: 1: net delimitate, viabile ce au conținut lipomatos omogen, 2: predominent lipomatos dar cu necroze centrale, calcificări și osificări și 3: leziuni lipomatoase având conținut heterogen cu necroze multiple, transformări chistice, scleroză parietală și calcificări extensive / osificări.
Indicația de examinare în ghidradiologie.ro https://ghidradiologie.ro/aparat-locomotor/formatiune-tumorala-osoasa-primitiva-bilant-diagnostic/
DE LUAT ACASĂ!!! Leziunile expansive osoase se caracterizează atât prin CT cât și prin IRM; la CT se evidențiază calcificările, traiectele de fractură iar reconstrucțiile 3D efectuate permit planificarea operatorie iar prin IRM se realizează caracterizarea tisulară: edem osos, conținut lipomatos, celularitate (difuzie), modelul prizei de contrast, dezvoltarea în țesuturile / organele de vecinătate.
NB Următoarele trei precizări vor fi listate după fiecare caz, cu scop de popularizare a științei.
- Pacienții care au tratament cu METFORMIN și au indicație de efectuare a unei examinări cu substanța de contrast iodată NU trebuie să întrerupă tratamentul dacă au GFR mai mare de 30 ml / minut. https://ghidradiologie.ro/ghid-de-utilizare-a-substantelor-de-contrast/
- Reacțiile alergice la substanța de contrast pe bază de iod nu sunt de tip anafilactic; singura metodă de prevenție a unei reacții alergice reprezintă evitarea alergenului, de aceea orice injectare de substanță de contrast trebuie motivată și validată de radiolog, după analiza raportului risc / beneficiu. Testarea la pacienții care nu au mai primit substanță de contrast nu este indicată sau concludentă (neputând prevedea apariția unei reacții ulterioare), fiind chiar contraindicată (putând genera ea însăși o reacție). Dacă pacientul a avut o reacție imediată după administrarea substanței de contrast se recomandă o analiză alergologică. https://ghidradiologie.ro/ghid-de-utilizare-a-substantelor-de-contrast/
- Administrarea substanței de contrast pentru o examinare imagistică precum și justificarea iradierii pacienților SUNT ATRIBUTUL MEDICULUI RADIOLOG.
Bibliografie:
- Campbell R, Grainger A, Mangham D, Beggs I, Teh J, Davies A. Intraosseous Lipoma: Report of 35 New Cases and a Review of the Literature. Skeletal Radiol. 2003;32(4):209-22. doi:10.1007/s00256-002-0616-7– Pubmed
- Eyzaguirre E, Liqiang W, Karla G, Rajendra K, Alberto A, Gatalica Z. Intraosseous Lipoma. A Clinical, Radiologic, and Pathologic Study of 5 Cases. Ann Diagn Pathol. 2007;11(5):320-5. doi:10.1016/j.anndiagpath.2006.09.006– Pubmed
- Murphey M, Carroll J, Flemming D, Pope T, Gannon F, Kransdorf M. From the Archives of the AFIP: Benign Musculoskeletal Lipomatous Lesions. Radiographics. 2004;24(5):1433-66. doi:10.1148/rg.245045120– Pubmed
- WHO Classification of Tumours Editorial Board, Who Classification of Tumours Editorial. Soft Tissue and Bone Tumours. (2020) ISBN: 9789283245025 – Google Books