Figura 1: Fig 1 reconstrucţii multiplanare din achiziţie angioCT coronariană

Figura 2: Fig 2 reconstrucţii axiale MIP (maxim intensity projection) din achiziţie angioCT coronariană

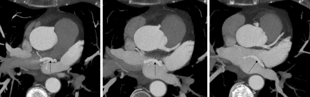
Figura 3: Fig 3 reconstrucţii oblic coronale MIP (maxim intensity projection) din achiziţie angioCT coronariană

Fig 4 reconstrucţii volumice (VRT) din achiziţie angioCT coronariană

Discuţie caz nr 50: Examinarea angioCT coronariană este actual indicație de clasa 1 la pacienții cu boală coronariană cronică; este cazul unui pacient care a fost diagnosticat la examinare angioCT cu fistulă între arteră coronară dreaptă și arteră pulmonară dreaptă.
Indicația de examinare în ghidradiologie.ro https://ghidradiologie.ro/aparat-cardiovascular/anevrism-aorta-toracala/ https://ghidradiologie.ro/aparat-cardiovascular/sindrom-coronarian-acut/
DE LUAT ACASĂ!!!
NB Următoarele trei precizări vor fi listate după fiecare caz, cu scop de popularizare a științei.
- Pacienții care au tratament cu METFORMIN și au indicație de efectuare a unei examinări cu substanța de contrast iodată NU trebuie să întrerupă tratamentul dacă au GFR mai mare de 30 ml / minut. https://ghidradiologie.ro/ghid-de-utilizare-a-substantelor-de-contrast/
- Reacțiile alergice la substanța de contrast pe bază de iod nu sunt de tip anafilactic; singura metodă de prevenție a unei reacții alergice reprezintă evitarea alergenului, de aceea orice injectare de substanță de contrast trebuie motivată și validată de radiolog, după analiza raportului risc / beneficiu. Testarea la pacienții care nu au mai primit substanță de contrast nu este indicată sau concludentă (neputând prevedea apariția unei reacții ulterioare), fiind chiar contraindicată (putând genera ea însăși o reacție). Dacă pacientul a avut o reacție imediată după administrarea substanței de contrast se recomandă o analiză alergologică. https://ghidradiologie.ro/ghid-de-utilizare-a-substantelor-de-contrast/
- Administrarea substanței de contrast pentru o examinare imagistică precum și justificarea iradierii pacienților SUNT ATRIBUTUL MEDICULUI RADIOLOG.
Bibliografie:
- Czekajska-Chehab E, Skoczyński M, Przybylski P, Staśkiewicz G, Tomaszewski A, Siek E, Kurzepa J, Skoczyński M, Drop A. Coronary artery fistulas morphology in coronary computed tomography angiography. Folia Morphol (Warsz). 2020;79(4):777-785. doi: 10.5603/FM.a2019.0132. Epub 2019 Dec 5. PMID: 31802472.
- Taleb MM, Sheikh MA, Cooper CJ, Tinkel JL. Multiple coronary to pulmonary artery fistulas: a case report and review of the literature. Cardiovasc Interv Ther. 2012 May;27(2):127-30. doi: 10.1007/s12928-012-0096-1. Epub 2012 Feb 14. PMID: 22623009.