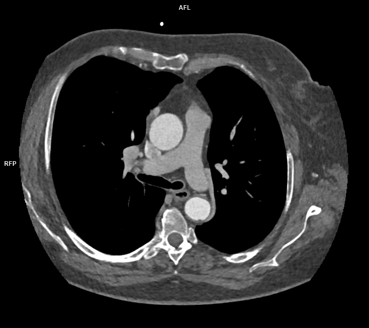
Figura 1: reconstrucție axială din achiziție CT postcontrast

Figura 2: reconstrucție volumică din achiziție CT postcontrast

Figura 3: reconstrucție MIP oblică din achiziție CT postcontrast

Figura 4: reconstrucție MIP oblică din achiziție CT postcontrast

Video 1: reconstrucție axială din achiziție CT postcontrast
Video 2: reconstrucție volumică din achiziție CT postcontrast
Discuţie caz nr 47: variantă anatomică de formare a sistemului venos cav inferior cu persistența de venă cavă superioară stângă – există varinate anatomice în care vena cavă superioară stânga este singurul element de drenaj al sângelui de la nivelul extremității cefalice și membrelor superioare. Este important de cunoscut la pacienții ce urmează proceduri interventionale / de cateterizare cardiacă sau la pacienții care au nevoie de cateter venos central.
Indicația de examinare în ghidradiologie.ro https://ghidradiologie.ro/torace/pacienti-in-unitati-de-terapie-intensiva-unitati-de-hemodializa/
DE LUAT ACASĂ!!! Variantele anatomice de drenaj venos trebuie cunoscute şi descrise in raportul radiologic.
NB Următoarele trei precizări vor fi listate după fiecare caz, cu scop de popularizare a științei.
- Pacienții care au tratament cu METFORMIN și au indicație de efectuare a unei examinări cu substanța de contrast iodată NU trebuie să întrerupă tratamentul dacă au GFR mai mare de 30 ml / minut. https://ghidradiologie.ro/ghid-de-utilizare-a-substantelor-de-contrast/
- Reacțiile alergice la substanța de contrast pe bază de iod nu sunt de tip anafilactic; singura metodă de prevenție a unei reacții alergice reprezintă evitarea alergenului, de aceea orice injectare de substanță de contrast trebuie motivată și validată de radiolog, după analiza raportului risc / beneficiu. Testarea la pacienții care nu au mai primit substanță de contrast nu este indicată sau concludentă (neputând prevedea apariția unei reacții ulterioare), fiind chiar contraindicată (putând genera ea însăși o reacție). Dacă pacientul a avut o reacție imediată după administrarea substanței de contrast se recomandă o analiză alergologică. https://ghidradiologie.ro/ghid-de-utilizare-a-substantelor-de-contrast/
- Administrarea substanței de contrast pentru o examinare imagistică precum și justificarea iradierii pacienților SUNT ATRIBUTUL MEDICULUI RADIOLOG.
Bibliografie:
- Dave V, Sesham K, Mehra S, Roy TS, Ahuja MS. Persistent left superior vena cava: An anatomical variation. Med J Armed Forces India. 2022 Sep;78(Suppl 1):S277-S281. doi: 10.1016/j.mjafi.2020.01.009. Epub 2020 Apr 30. PMID: 36147413; PMCID: PMC9485778.
- Tang PT, Chan K. Isolated Persistent Left Superior Vena Cava. N Engl J Med. 2022 Mar 3;386(9):879. doi: 10.1056/NEJMicm2113492. Epub 2022 Feb 26. PMID: 35213101.