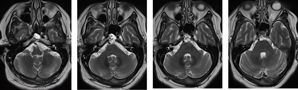
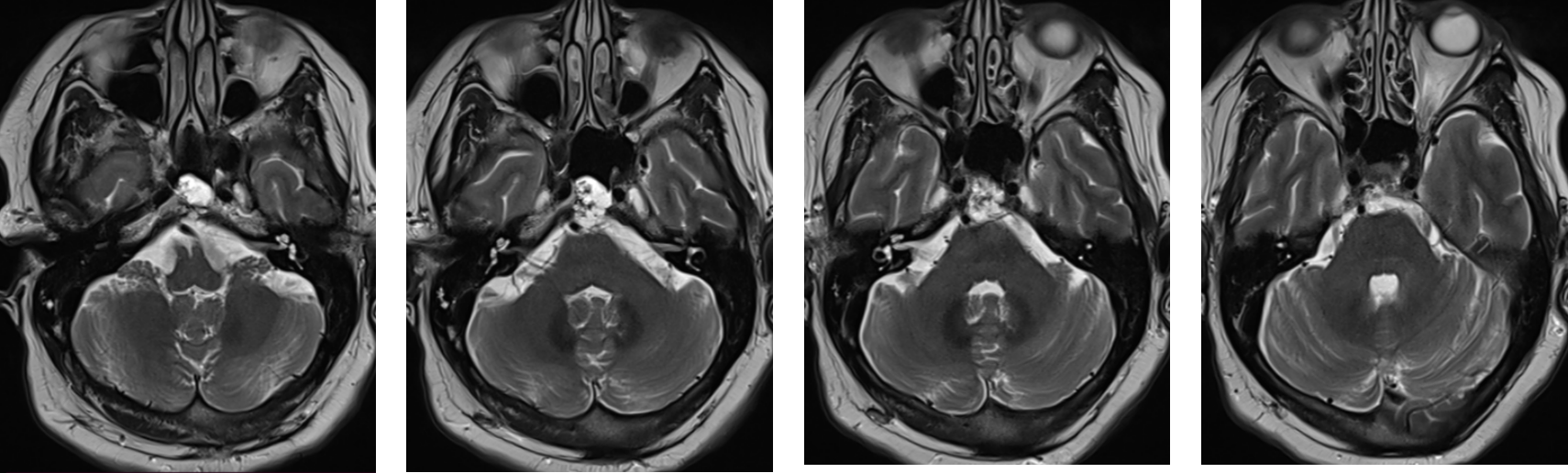
Figura 1: examinare IRM axial T2 se observă modificare de structură a clivusului cu prezența unor plaje cu semnal lichidian și de incluzii în hipersemnal T2 și FLAIR, hiposemnal T2 cu depășire posterioară a corticalei osoase.

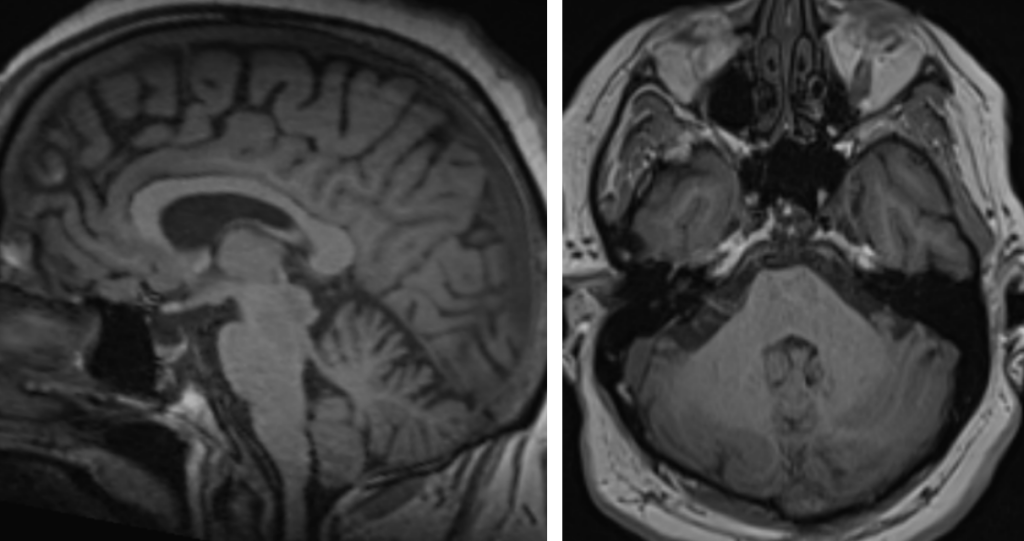
Figura 2: examinare IRM sagital şi axial T1

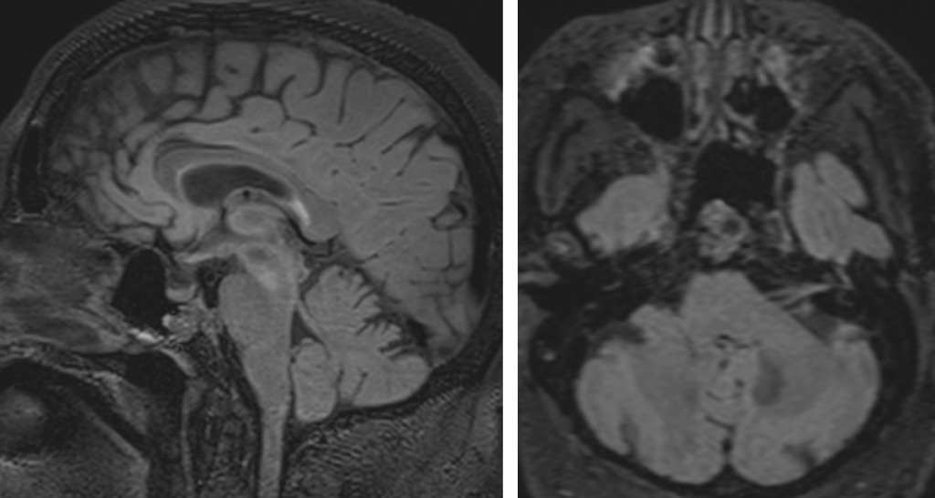
Figura 3: examinare IRM sagital şi axial FLAIR

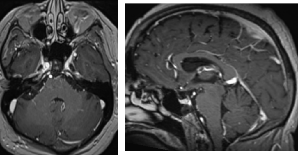
Figura 4: examinare IRM axial şi sagital T1 postcontrast

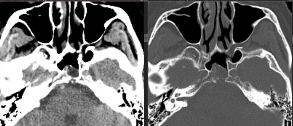
Fig 5: reconstrucţie axială din achizitie CT în fereastră de parenchim cerebral şi în fereastră de os – la examinarea CT se vizualizează optim calciul și, în acest caz, depășirea corticalei posterioare a clivusului.

Discuţie caz nr 45: Chisturile neuroenterice sunt leziuni de dezvoltare care au origine din endoderm, cel mai frecvent întâlnite în canalul rahidian, dar observate și în fosa posterioară și mai rar, supratentorial.
Indicația de examinare în ghidradiologie.ro https://ghidradiologie.ro/cap/afectarea-bazei-craniului-si-nervilor-cranieni-cu-exceptia-nervilor-optici-23a-si-a-nervilor-acustici-13a-si-14a/
DE LUAT ACASĂ!!! Examenul IRM studiază semnalul leziunii cu o caracterizare tisulară optimă, evaluarea extensiei, ajută la orientarea diagnostică (perfuzie, difuzie, spectroRM, angioRM dinamic).
CT-ul poate fi util în analiza bazei craniului, detectarea calcificărilor şi pentru analiza anumitor structuri (pereţi orbitari, lama ciuruită etmoidală, găurile bazei craniului). Se poate realiza și în contraindicații de examen IRM.
NB Următoarele trei precizări vor fi listate după fiecare caz, cu scop de popularizare a științei.
- Pacienții care au tratament cu METFORMIN și au indicație de efectuare a unei examinări cu substanța de contrast iodată NU trebuie să întrerupă tratamentul dacă au GFR mai mare de 30 ml / minut. https://ghidradiologie.ro/ghid-de-utilizare-a-substantelor-de-contrast/
- Reacțiile alergice la substanța de contrast pe bază de iod nu sunt de tip anafilactic; singura metodă de prevenție a unei reacții alergice reprezintă evitarea alergenului, de aceea orice injectare de substanță de contrast trebuie motivată și validată de radiolog, după analiza raportului risc / beneficiu. Testarea la pacienții care nu au mai primit substanță de contrast nu este indicată sau concludentă (neputând prevedea apariția unei reacții ulterioare), fiind chiar contraindicată (putând genera ea însăși o reacție). Dacă pacientul a avut o reacție imediată după administrarea substanței de contrast se recomandă o analiză alergologică. https://ghidradiologie.ro/ghid-de-utilizare-a-substantelor-de-contrast/
- Administrarea substanței de contrast pentru o examinare imagistică precum și justificarea iradierii pacienților SUNT ATRIBUTUL MEDICULUI RADIOLOG.
Bibliografie:
- Sangrador-Deitos MV, Sánchez-Cantú TE, Navarro-Garcia de Llano JP, Rodríguez-Hernández LA, Alcocer-Barradas V. Neurenteric Cyst of the Posterior Cranial Fossa: A Case Report and Literature Review. Cureus. 2022 Feb 26;14(2):e22628. doi: 10.7759/cureus.22628. PMID: 35371654; PMCID: PMC8960574.
- Aouad RK, Dagher WI, Shikani AH. Neurenteric cyst of the clivus. Otolaryngol Head Neck Surg. 2008 Dec;139(6):863-4. doi: 10.1016/j.otohns.2008.08.027. PMID: 19041520.
Trimite informația mai departe