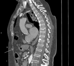
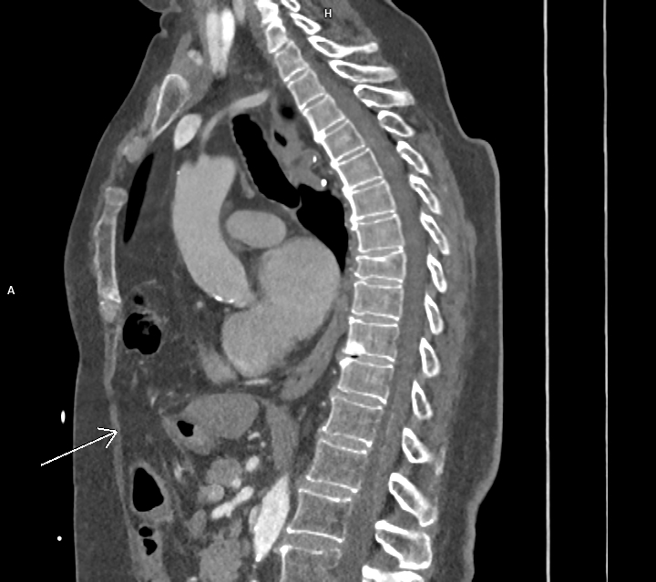
Figurile 1 şi 2: sagital CT în timp venos torace şi abdomen superior
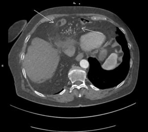
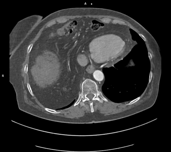
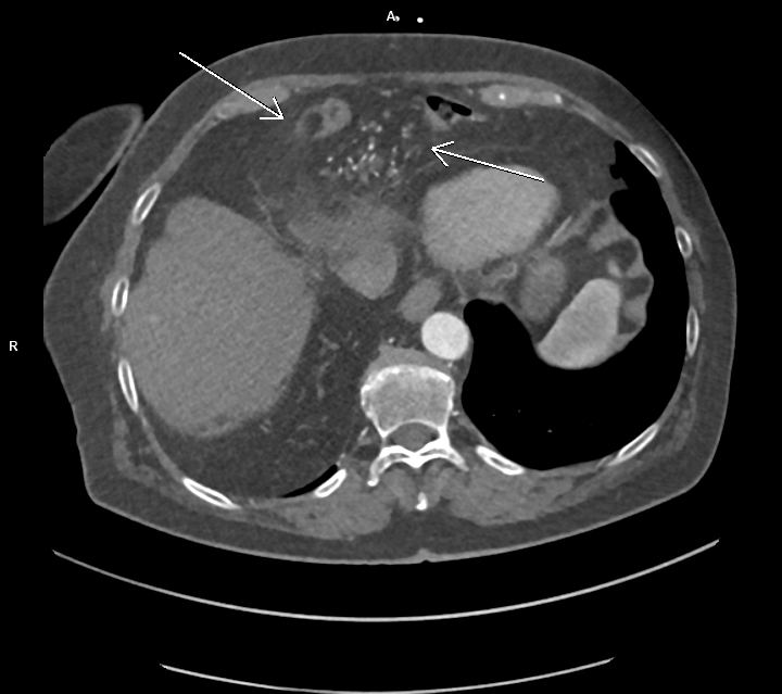
Figurile 3 şi 4: axial CT în timp venos torace şi abdomen superior
Video 1: axial CT în timp venos torace şi abdomen superior
Video 2: sagital CT în timp venos torace şi abdomen superior
Video 3: coronal CT în timp venos torace şi abdomen superior
Discuţie caz nr 127: se evidențiază hernierea intratoracică a jumătății distale a colonului ascendent, unghiului hepatic al colonului și a unei părți din colonul transvers printr-un orificiu herniar situat anterior de partea dreapta împreună cu o parte din mezocolon.
Indicația de examinare în ghidradiologie.ro https://ghidradiologie.ro/aparat-digestiv/sindrom-ocluziv/
DE LUAT ACASĂ!!! Hernia Morgagni este una dintre herniile diafragmatice congenitale și este caracterizata de hernierea prin foramenul Morgagni. În comparație cu herniile Bochdalek, herniile Morgagni tind să fie: localizate anterior, mai des pe partea dreaptă ( aproximativ 90%), mici, rare aproximativ 2% din herniile diafragmatice congenitale), cu risc scăzut de prolaps.
NB Următoarele trei precizări vor fi listate după fiecare caz, cu scop de popularizare a științei.
- Pacienții care au tratament cu METFORMIN și au indicație de efectuare a unei examinări cu substanța de contrast iodată NU trebuie să întrerupă tratamentul dacă au GFR mai mare de 30 ml / minut. https://ghidradiologie.ro/ghid-de-utilizare-a-substantelor-de-contrast/
- Reacțiile alergice la substanța de contrast pe bază de iod nu sunt de tip anafilactic; singura metodă de prevenție a unei reacții alergice reprezintă evitarea alergenului, de aceea orice injectare de substanță de contrast trebuie motivată și validată de radiolog, după analiza raportului risc / beneficiu. Testarea la pacienții care nu au mai primit substanță de contrast nu este indicată sau concludentă (neputând prevedea apariția unei reacții ulterioare), fiind chiar contraindicată (putând genera ea însăși o reacție). Dacă pacientul a avut o reacție imediată după administrarea substanței de contrast se recomandă o analiză alergologică. https://ghidradiologie.ro/ghid-de-utilizare-a-substantelor-de-contrast/
- Administrarea substanței de contrast pentru o examinare imagistică precum și justificarea iradierii pacienților SUNT ATRIBUTUL MEDICULUI RADIOLOG.
Bibliografie:
- Svetanoff WJ, Sharma S, Rentea RM. Morgagni Hernia. 2024 Aug 12. In: StatPearls [Internet]. Treasure Island (FL): StatPearls Publishing; 2025 Jan–. PMID: 32491433.
- Rajkumar K, Kulkarni S, Talishinskiy T. Morgagni hernia: an uncommon pathology in adults. J Surg Case Rep. 2022 Dec 30;2022(12):rjac597. doi: 10.1093/jscr/rjac597. PMID: 36601102; PMCID: PMC9803967.
- Predescu D, Achim F, Socea B, Ceaușu MC, Constantin A. Rare Diaphragmatic Hernias in Adults-Experience of a Tertiary Center in Esophageal Surgery and Narrative Review of the Literature. Diagnostics (Basel). 2023 Dec 29;14(1):85. doi: 10.3390/diagnostics14010085. PMID: 38201394; PMCID: PMC10795705.



